偷偷跟你们嗦,今天这篇文章差点难产了···
因为Miss Young在写之前,脑子里有无数想法在飘,一动笔(其实是开电脑)不知道该怎么表达才能把想说的又精准又快速的表达给大家··· 然后去厕所照了一下镜子,看见··· 两大坨可怕的黑眼圈··· 更不想写了···

好吧,不废话,继续写吧~没看昨天的戳杨幂爱露半边脸,孙俪戴墨镜就拉低颜值,从明星拍照喜好看颜值缺陷
昨天的拍照不是还没写完咩,其实后来迷死氧自己想了一下,这些从明星身上偷学小技巧不仅可以帮助拍照啊,其实也可以帮助我们更了解自己,知道怎样去呈现一个更好的状态对不对?比如合照站在两侧的勇士,要是知道合照要往中间三分之一站的原理,还会那么勇往直前吗?(也没准···)

昨天赶着推送,今天给大家详解一下吧,觉得自己拍照露正面好看的站红色虚线内这个区域。

符合昨天介绍的微侧脸拍照好看的,站黄线内区域。

剩下的边缘区域,就留给像志玲姐姐这样的超级小脸或者黄蜀黍这样的爱多大多大,老子无所谓派的吧。

等等,让迷死氧思考一下,今天的内容是牙齿放前面还是滤镜放前面···
好吧,我们先说牙齿吧~
牙齿篇
之前牙齿部分的文章大致总结了几种影响外貌的牙齿类型,简单来说就是,龅牙、地包天、以及深覆合。
所有颌面不平整的都尽量避免侧脸拍照!包括上述的牙齿问题以及上下颌骨的突出和凹陷。

所以,合照的时候,请优先选择中间红线的区域。

首先,龅牙该怎么拍照?
先看看龅牙是什么形态。(左边)


正面一般放松情况下会有不同程度的闭不紧嘴巴。

闭上会有一种拉扯着嘴巴附近组织的用力感。

所以为了避免这种牵拉感,并且起到以假乱真的效果,有这个困扰的拍照时候可以嘴巴微微张开,嘴角往上,露出一点牙齿。
胡杏儿就是这么干的,早期的时候牙齿龅得很明显。

被旁边林峰的肤色吸引了注意力···

露太多会暴露缺陷。

露一点点刚刚好。感觉又像是因为笑露出来的牙齿,又不会有硬要闭上嘴巴拉扯着四周组织的牵强感。

以及这样的遮盖法。

那地包天咋拍照?
先看一下,地包天是左边这样的。


地包天如何拍照?以下方法只适合比较轻度的。
同样的,最直接的办法就是学习有此问题的明星,例如吴亦凡,来观察一下他的照片。



看粗来没,自拍时,嘴巴永远都有小动作,轻轻抿嘴,微微嘟嘴,就是各种给你错觉,下巴是因为有嘴巴的运动才往前翘的。

另一种更适合稍微严重一点的地包天拍摄方式,给下嘴唇以下制造阴影或遮挡,就是这个区域。

比如恰好站在光源遮挡处,脸部在光源下,下巴在阴影处;还有更简单的在下图爱心处比V啊。



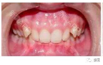
最后就是深覆合
其实深覆合也有可学习的明星, 刘亦菲和张曼玉。
先解释一下啥是深覆合。正常咬合的时候,平行视角看,上牙几乎全盖住了下牙,就是深覆合。

深覆合牙齿后牙正常咬合的时候,前牙上排会覆盖住下排。

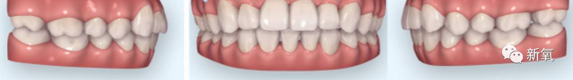
正常的是这样的。

你们可以检查一下自己的,很多人都有轻微深覆合而不自知。站在镜子前,把下牙往前平移,门牙咬合的时候,后牙咬合不了;正常咬合的时候,前牙覆盖住后牙。

上牙遮盖下牙超过三分之一就可以怀疑是不是深覆合了。

深覆合的其中一个影响就是下庭短,然后嘴巴因为牙齿的竖直空间有限,会有点冗出来的感觉。

之前整形急迫指数投稿的一个妹纸的侧面,希望你们有get到···

为什么Miss Young说刘亦菲有深覆合叻?看她的牙齿,前牙是往下沉的形态。

正常的牙齿是平平的。


看粗来了吗?

她的前牙,和前牙内倾型深覆合走势一模一样。

所以看她早期的照片,的确下庭偏短,嘴巴有种冗出来的感觉。

有些角度还有下巴轻微后缩。

至于后来下巴变长是做了牙齿矫正(上面牙齿截图是近几年的,所以不像是矫正了),还是隆了下巴,这个··· 你们自己看长度和翘度的变化吧。

如果觉得还不够清楚,可以再去搜一搜照片对比一下。

说回这种深覆合拍照,如果不严重的,就完全没必要去整牙,如果觉得自己因为深覆合造成了下庭短,下巴微微后缩,可以学着把下排牙在拍照时轻轻往前移动,你们可以现在就去镜子前看一下哦,随着你的牙齿往前移,下庭是不是变长了?

滤镜篇
抛开所有的环境因素,我们单说人像,所有滤镜的真谛都在于,你是想加强颜色还是想加强线条。
先申明,下面这样的滤镜,就是Miss Young说的环境因素,也就是利用滤镜制造出来的环境来烘托一张照片给人的感觉,这个属于摄影范畴的了,迷死氧单纯说脸,所以排除这部分的分析。


我们先来来看几张黑白照~




有没有发现,在同样非强光、非侧面的情况下,前两张欧美人脸上的线条明显更多?(眼窝挤压出来的阴影是线条,颧骨投射的阴影是线条,正侧面的分界是线条,任何光影的变化区分线··· 都是线条)

而东方人则脸上线条非常少且糊。


所以很多明星照片一调成黑白,美貌度大减。(如果还是觉得好看,想想是不是被黑白底自带的高级感所影响了判断,剥开滤镜单看“人”这个个体)

而即使把欧美人的黑白照拉到轻微曝光的程度。

也比将东方面孔加了对比度的面部线条多很多。

原因其实很简单,人种不同,骨骼和五官的立体度均不相同。东方人面平,自然在缺少色彩修饰的黑白照底下,将线条的短板暴露无遗。

所以Miss Young是想告诉大家拍照别选黑白滤镜吗?当然不是,在一些场景下,需要黑白才能烘托出照片所需要的氛围。说这里是想让大家明白,任何一种滤镜其实都有最佳使用方式,比如,拍摄黑白照的时候,需要强调线条才能将它运用到极致。
比如,同样是黑白照,当这样运用的时候,画面和人就都好看多了。

因为变成侧面,画面自动增加了很多线条,比如额头、鼻子、嘴巴、下颌··· 整个人的层次都增加了很多,看左右对比。

分析完这个增加线条的滤镜,你们可以试着自己去联想一下,其实很多的滤镜都是Miss Young所说的,给人像增加颜色或增加线条。(单指人像)

总之,是将我们的脸往更有冲击感的方向所塑造。

强调红唇、黑发、白肤。仔细想一想,我们常用的光线、滤镜和为什么明星们都追求冲击力和对比度,get到没有?

尤其在合照的时候,学会突出自己的色彩。




评论