近日,上海中医药大学附属曙光医院肾内科的陈冬平主任带领的团队成功应用国产创新器械Netrod®星带®肾动脉射频消融系统,完成首例顽固性血压合并肾功能不全介入治疗手术,为患者实施了Netrod®星带™RDN系统高血压微创介入手术治疗,据统计该例手术在国内RDN真实世界治疗高血压合并肾功能不全中尚属首例。此次手术特别邀请复旦大学附属中山医院的姚志峰教授进行术前会诊和术中策略指导,手术成功标志着上海中医药大学附属曙光医院在高血压高合并慢性肾病介入治疗领域迈出了重要一步,为广大高血压患者带来了全新的治疗选择!


多年顽疾,患者苦不堪言
60岁的冯女士(化名)被高血压折磨了9年多,尽管长期口服3种降压药物,血压却依旧难以控制,最高时竟飙升至200/120mmHg。半年前,她开始频繁出现头晕、视物模糊等症状,自测血压高达200/126mmHg。原来,冯女士25年前就检查出蛋白尿,2016年肌酐升高至116umol/L,3年半前因肌酐控制不佳接受了动静脉内瘘成形术,并长期规律进行血液透析治疗。半年前症状加重后,她慕名来到上海中医药大学附属曙光医院求诊。入院时,其24小时动态血压监测显示,其24小时血压平均值为168/108mmHg,白昼血压平均值172/111mmHg,夜间血压平均值159/102mmHg,血压控制情况十分不理想。
精准评估,制定个性化方案
面对如此复杂且严重的病情,曙光医院团队为冯女士完善了继发性高血压筛查,通过一系列实验室检查和多项彩超检查,最终诊断为原发性高血压合并慢性肾病。考虑到冯女士高血压病史长、血压控制不佳,且患有慢性肾脏病5期还有脑梗史,团队经过严谨的RDN可行性及获益评估,认为行RDN治疗可以降低她心脑血管事件的发生风险,同时也有助于进一步降低因高血压引起的全身性并发症风险。而且,冯女士本人在了解RDN术式后,意愿度极高,强烈希望通过手术控制血压。
多方协作,手术顺利开展
此次手术能够顺利开展,离不开复旦大学附属中山医院姚志峰教授的大力支持。姚教授不仅在手术前仔细为患者进行了会诊,认真分析病情,还针对手术制定了详细的策略,为手术的成功奠定了坚实基础
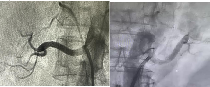
术中,确认镇静镇痛药物起效后,曙光医院医疗团队小心翼翼地在冯女士的股动脉(大腿根部的一条重要血管)处进行穿刺,就像用细针轻轻扎一下,然后放入一个鞘管,鞘管就像是一个“通道”,方便后续的操作。通过这个鞘管,医生送入一根细细的导管,利用这根导管给肾动脉做个“透视检查”,也就是肾动脉造影。这就像是给血管拍一张清晰的照片,让医生能清楚地看到肾动脉的形状、有没有堵塞或者异常等情况。

(左肾造影) (右肾造影)
了解清楚肾动脉的情况后,医生拿出特制的“秘密武器”——肾动脉射频消融导管。他们把这个导管慢慢地送到肾动脉主干的远端,就像把一个小工具精准地送到需要“修理”的地方。然后,医生巧妙地控制导管,让导管上的电极紧紧地贴在肾动脉血管壁上,接着以合适的能量进行消融。这个过程就像是给血管交感神经里的“捣乱分子”来一次精准打击,消除引起高血压的“罪魁祸首”。医生在左、右肾动脉主干依次进行了多次这样的消融操作,累计形成了多个有效的消融位点,在肾动脉里布下了一张“降压大网”。

(左右肾动脉手术画面)
疗效显著,患者重获新生
住院观察4天期间,冯女士情况稳定,血压逐渐趋于平稳,随后顺利出院。

术后,冯女士严格按照医嘱规律起居饮食,监测血压并规律服药。目前,她的服药情况有所调整,诺欣妥 200mg bid 、可多华4mg bid、比索洛尔减半粒服用。在后续的随访计划中,医院将为她进行一个月、三个月、六个月、一年甚至更长时间的随访,检查24小时动态血压,术后六个月还会进行肾动脉彩超或者肾动脉CTA检查。

从目前的情况来看,手术取得了显著疗效。这不仅是冯女士个人的幸运,更是曙光医院在高血压治疗领域的一次重大突破。此次手术在国内RDN真实世界治疗高血压合并肾功能不全中尚属首例,标志着上海中医药大学附属曙光医院在高血压合并慢性肾病介入治疗领域迈出了重要一步,为广大高血压患者带来了全新的治疗选择。
持续探索,共筑健康未来
随着医疗技术的不断发展,上海中医药大学附属曙光医院始终关注高血压治疗领域的前沿技术,不断提升医疗水平。此次手术所使用的创新治疗方式,为患者提供了更优质、更高效的医疗服务。医院也期待与更多优秀企业进一步合作,共同推动高血压介入治疗领域的发展,为全球高血压患者的健康事业贡献力量。
相信在未来,会有更多像冯女士这样的患者在上海中医药大学附属曙光医院重获健康,摆脱疾病的困扰,迎来美好的生活。
(免责声明:本文为本网站出于传播商业信息之目的进行转载发布,不代表本网站的观点及立场。本文所涉文、图、音视频等资料之一切权力和法律责任归材料提供方所有和承担。本网站对此咨询文字、图片等所有信息的真实性不作任何保证或承诺,亦不构成任何购买、投资等建议,据此操作者风险自担。)
评论