【法国】每年逾万人因“吃错药”死亡

据《欧洲时报》报道,法国一个医学团体在公开声明中表示,法国每年有超过一万人因“吃错药”死亡,且在这些死亡案例中,至少半数以上本可以避免。法国“正确服药团体”发表声明说:“剂量不对、服药方式不对、不遵医嘱、多种药品冲突……此类医疗事故的原因多种多样,而它们的后果则远非无足轻重。”
该团体强调,每年因用药不当而死亡人数超过了一万人,比交通事故死亡人数整整多出了三倍。除此之外,每年“超过13万次入院”是由服药不当导致的。据估计,“45%到70%用药事故本可避免”。其中老年人受影响最大,75岁至84岁的老年人平均需要同时服用四种不同的药品。
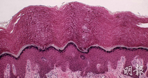
【研究】科学家称发现人体新“器官” 或与癌细胞扩散有关
过去医学界认为,皮肤是人体最大器官。近日则有发现称,“间质”(interstitium)有可能是更大型器官。据香港《明报》报道,表皮下、消化道、肺、血管、肌肉和泌尿系统等器官周围,都有一层蛋白质壁,称之为“间质”。“间质”以前单纯被视为一种结缔组织。新研究则发现,其结构和功能独特且唯一,具备系统性,有可能要改定义为人体第80个器官,而且与癌症传播息息相关。
研究显示,癌细胞可透过“间质”进入淋巴系统。癌细胞在脱离肿瘤时,除了透过血液或淋巴系统扩散之外,也可在“间质”液中流动。团队补充,研究也许能够为东方传统针灸技术疗效,提供西方生物学解释。

【美国】男子因奸杀82岁退休老师被判入狱210年
据《休斯敦纪事报》报道,美国得克萨斯州哈里斯郡地方检察官办公室称,现年50岁的阿尔弗莱德因过度奸杀受害人,被判三项谋杀罪名成立。每一项罪名判处70年监禁,累计获刑210年。据报道,阿尔弗莱德在逃20余年,去年8月被引渡回案发所在的哈里斯郡。
该案发生于1993年休斯敦市北部的汤博尔镇。嫌犯过度强奸并杀害了一名82岁的退休老师。案发后,当地警方经DNA调查,确认了嫌疑人身份,之后,追捕阿尔弗莱德20余年。最终墨西哥执法机构于2013年在该国米却肯州将其逮捕。2016年,嫌犯由墨西哥引渡回美国,之后转交给案发地的执法机构。
火星现“外星人脸”引猜想 NASA:只是陨石坑

据中新网报道,外国一名UFO爱好者近日翻出美国航空航天局(NASA)一张摄于2005年1月26日的火星表面照片,发现一个外星人面孔图案。这名爱好者相信,这是外星人在火星生活的证据。他表示,通过照片上的比例尺可得知“这颗头”大约有350米长,400米宽。他认为,这张脸上的双眼尺寸和宽度几乎完美配合,且脊椎沿着他的前额生长,都显示了外星人的特征。
对此,NASA回应称,相片是真实的,但强调并不是外星人,只是陨石坑。
【研究】香蕉皮提取物助冰激凌减缓融化速度

加拿大古尔弗大学研究人员发现,从香蕉皮中提取纤维素纳米纤丝,加入冰激凌,可以减缓冰激凌的融化速度。据新华社报道,香蕉皮里的纤维素纳米纤丝十分微小,是人体头发丝直径的几千分之一。古尔弗大学的罗宾博士表示,他们在100克冰激凌中分别加入从零到0.3克不等的纤维素纳米纤丝,借助分析设备评估冰激凌融化速度。
结果发现,加入纤维素纳米纤丝,冰激凌不仅融化得更慢,而且口感更顺滑、更美味。研究人员说,下一步将分析不同类型的脂肪,如椰子油和乳脂,是否会对冰激凌添加纤维素纳米纤丝的效果产生不同影响。




评论