文 | 中国科普博览 十万个不知道
美国疾病控制和预防中心近日发布公报说,一种被称为“僵尸鹿”的传染病在美国、加拿大等地的鹿群中传播。截至今年1月,美国本土至少24个州和加拿大两个省已经被波及。这种病对人类有没有威胁?又为什么叫“僵尸鹿”呢?
什么是“僵尸鹿”病?
“僵尸鹿”病听起来很可怕,特别是“僵尸”二字,容易让人联想到生化危机里会咬人的丧尸。但如果你知道它的专业名词,可能就不会觉得那么吓人了,虽然这病确实挺可怕的。
这病的专业叫法是“鹿慢性消耗性疾病”(chronic wasting disease),简称CWD,是一种神经类疾病,目前主要在野生鹿群中传播,可以感染北美黑尾鹿、白尾鹿、落基山麋鹿以及驼鹿。
至于这病为什么叫“僵尸鹿”,主要是因为感染后的病状有些像电影中刻画的僵尸。感染了CWD的僵尸鹿看起来精神萎靡,面部表情呆滞,还会流口水,运动缺乏协调,而且还不会害怕。得了这种病的鹿最后都会死掉,是一种不治之症。

感染了CWD的鹿 (图源:Wikipedia)
这种病本质是一种朊病毒病,是不是觉得有点熟悉?
没错,其实“僵尸鹿”这种疾病类似于疯牛病,所以说也可以把“僵尸鹿”称为疯羊病,也许这样可以方便理解一些。类似的,还有羊痒病(Scrapie)、水貂传染性脑病(Transmissible mink encephalopathy,TME)、猫科动物海绵状脑病(Feline spongiform encephalopathy,FSE)、 人克雅氏病(Creutzfeldt-Jakob,CJD)等。以上这些都属于于朊病毒引起的传染性海绵状脑病。

鉴定是某种鹿是否患有cwd的有效检测方式是通过对脑干进行尸检(图源:http://www.austincc.edu/)
朊病毒本质上是一种蛋白质,准确得说,是无核酸的蛋白侵染颗粒PrPCWD。它们本来都是正常的,是宿主体内正常型朊蛋白(PrPC),但是意外发生了,蛋白质的构象发生了错误折叠,最后就从一个“好”蛋白,变成了一个“坏”蛋白,具体来说,就是一种异常的具有部分蛋白酶抗性的蛋白。

图(a)是具有α螺旋的蛋白质的正常折叠,图(b)是β折叠的感染性蛋白质的朊病毒折叠(图源:http://www.austincc.edu/)
当这种病毒感染动物后,CWD 会诱导PrPC转化为PrPCWD,PrPCWD在体内大量蓄积,最终导致“僵尸鹿”病的发生。

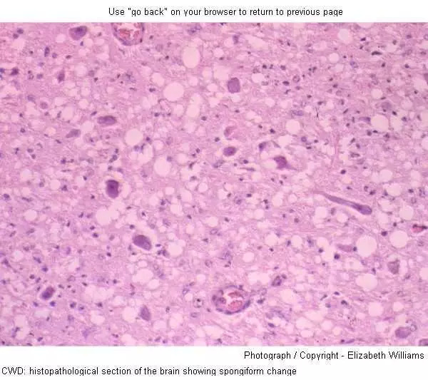
脑组织的“空洞化”是受朊毒体影响的组织切片的特性,组织中会发展出“海绵状”的结构(图源:Wildpro)
其实“僵尸鹿”病并不是最近才出现的,上个世纪60年代,CWD首次在美国科罗拉多州和怀俄明州被发现,之后又陆陆续续发生了不少次,不过主要都集中在北美地区,少有在其他区域发生。

此前,CWD主要发生在美国(图源:Wikipedia)
CWD曾在亚洲地区被发现过一次,2002年,韩国发现了一例CWD,这是首次在北美地区外的其他国家发现CWD。此后,在2016年,挪威南部出现了欧洲第一例CWD病例。
那CWD到底是怎么来的呢?
根据现有的研究,科学家也说不清它的具体来源、流行情况以及发病率,相关的研究都还在进行中。不过就目前的数据来看,已经相当严重。在较密集自由放养的鹿群中,CWD的患病率高达30%,在圈养的鹿群中,CWD的患病率甚至可以达到100%病例。
“僵尸鹿”病会传染给人类吗?
前面说到,CWD的宿主在自然条件下主要是鹿,目前还没发现鹿以外的其他物种感染CWD的病例。
不过,这是自然条件下的情况。非自然条件下,就有可能会传染给包括人类的其他物种。科学家曾经用感染CWD黑尾鹿的组织对雪貂进行脑内接种,发现雪貂在1年后开始表现出临床症状,之后给北美水貂接种,也成功感染了CWD。此外,还发现CWD可以感染猫和小鼠。

给猫接种CWD后(A-D)的大脑影像 (图源:Susceptibility of domestic cats to chronic wasting disease)
有意思的是,科学家发现,如果在黄金仓鼠大脑里接种了CWD,并不会直接感染。但是,如果先感染雪貂,然后让其传代再接种到仓鼠大脑中,它就会感染了。也就是说,从这项研究中看,CWD会通过传代提高物种间的适应率,跨物种的传染对于CWD来说只是一个时间问题。
而最近的一项研究表明,CWD甚至有可能传染给人类。加拿大的研究人员给5只猕猴喂食感染CWD的鹿肉,每只都吃5公斤的肉,3年之后,发现有3只猕猴被感染了。被感染的猴子出现了感染“僵尸鹿”病才有的症状,比如站不稳,无精打采、体重减轻。这是首次发现CWD可以通过食用受感染的肉类传播给灵长类动物,也就是说如果人类吃了感染“僵尸鹿”病的肉,也有可能会感染人类。
美国疾病预防控制中心已经建议当地猎人不要射杀看起来行为奇怪的鹿,更不要吃感染“僵尸鹿”病的动物肉,不过CWD往往会在鹿体内潜伏好一阵子,在潜伏期间并不会表现出“僵尸鹿”病的症状,也就是说哪怕是看起来正常的鹿,也有可能感染了CWD。
如果人被传染,患上“僵尸鹿”病,会怎么样?
虽然目前还没有患CWD的人类,但如果感染,可以推测,症状可能会和克雅氏病比较像(都是朊病毒病)。具体症状为脑部组织形成海绵状空洞,患者记忆衰退、神经失常,四肢运动失调,一般会在半年至两年内死亡。

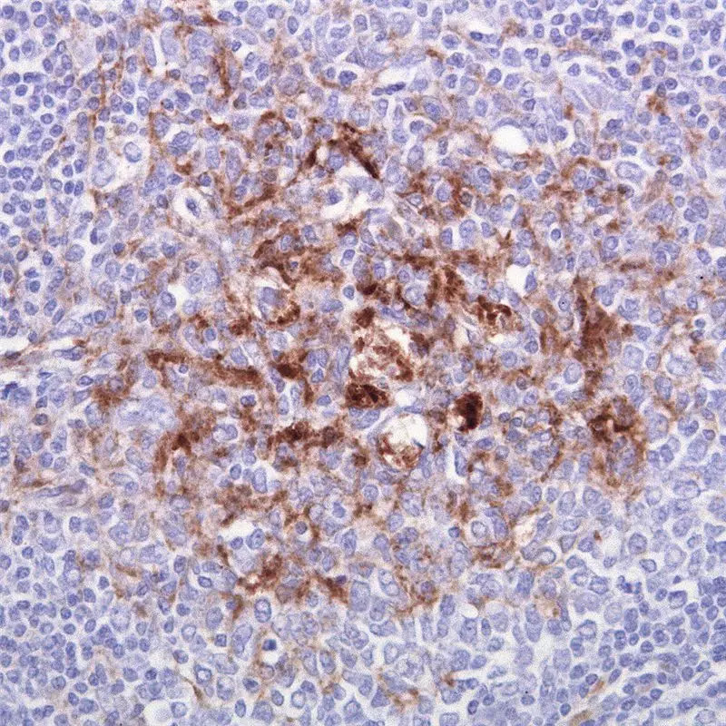
克雅氏病患者的扁桃腺组织切片 图源:Wikipedia
那么,这类疾病有希望被治愈吗?
目前显然是很困难,甚至可以说是不可能的。
以克雅氏病为例,自2003年起,有一种新的药物Pentosan Polysulphate(简称PPS )开始被实验性地使用在一位患者Jonathan Simms身上,该患者一度情况稳定,但是死于2011年。
然而,PPS至多只能达到抑制病情的效果,仍没有办法根治病症。而且英国卫生部门的克雅氏病治疗咨询小组(CJD Therapy Advisory Group to the UK Health Departments)指出,该资料并不足以支持PPS是一种有效治疗方式,并且建议应该有更多针对动物样本的研究。2007年,有一份针对26位使用PPS治疗克雅氏病患者的报告,也因为缺乏可以接受的客观因素,而没有发现其有效的证明。
虽然“僵尸鹿”病主要发生在北美地区,而且目前主要在鹿科动物之间传播,一般来说,生活在中国的我们不用过分担心,但因为曾有过物种间传染的案例发生,加上最近连灵长类动物都能感染,有一定可能性会传染给人类,所以还是要提高警惕。一个实用的建议就是,不要吃未经检疫的鹿肉食品。
参考文献:
https://en.wikipedia.org/wiki/Chronic_wasting_disease
http://www.austincc.edu/microbio/2704u/cwd.htm
https://www.livescience.com/61504-chronic-wasting-disease-spread-humans.html
http://prioninstitute.ca/content/research-publications
https://thetyee.ca/News/2017/06/24/Chronic-Wasting-Disease-Research/
https://zh.wikipedia.org/wiki/%E5%85%8B%E9%9B%85%E4%BA%8C%E6%B0%8F%E7%97%85
出品:科普中国
制作:十万个不知道
监制:中国科学院计算机网络信息中心
本文来源于“中国科普博览”公众号(kepubolan),转载请注明公众号出处



评论