文|造就
近日有研究人员声称,猫屎中的一种寄生虫能进行精神控制,让人们有勇气去创业。
最新研究发现,被弓形虫感染的人比没有被感染的人更可能主修商学和自主创业。
科罗拉多大学的史蒂芬妮·约翰逊(Stefanie Johnson)和同事说,这种寄生虫不仅可以让老鼠不怕猫,还可能减轻人们对失败的恐惧。

他们尚未真正证明这一点,但弓形虫确实会进入大脑,而这与老鼠和人类受到的多种精神影响有所关联。约翰逊说,对失败心怀恐惧本来可能也是件好事。
约翰逊和同事在发表于《英国皇家学会学报B》的论文中写道:“弓形虫病与车祸、精神疾病、神经过敏、药物滥用和自杀的风险升高有关。”

他们写到,弓形虫病可能影响大脑中负责传递信息的化学物质神经传递素,以及诸如睾酮这样的激素。
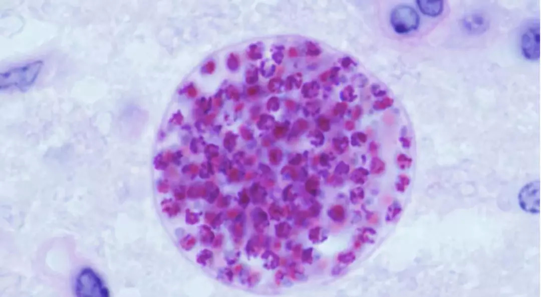
科学家特地研究了这种寄生虫是否会增加人们的冒险行为。
约翰逊是科罗拉多大学管理学副教授,经常对她的学生讲述弓形虫的奇特影响。这种寄生虫进入老鼠的大脑,导致它们对猫尿的气味失去天生的恐惧。
这对弓形虫有利。弓形虫会在猫的体内繁殖。如果老鼠被感染,就会变得无所畏惧,那么更有可能被猫吃掉,从而对这种寄生虫的生命周期起到帮助作用。
如果猫新近受到感染,人在处理其粪便时也可能被传染。但美国疾病控制和预防中心表示,大多数人是因为吃了没煮熟的肉而感染这种寄生虫。
孕妇应该远离猫屎和生肉,因为弓形虫会导致流产和出生缺陷。
如果免疫力低下的人感染弓形虫 ,可能会出现严重的健康问题,但大多数人甚至不知道自己被感染了。美国疾病控制和预防中心说:“在美国,超过3000万男性、女性和儿童携带弓形虫,但有症状的人很少,因为免疫系统往往会阻止这种寄生虫导致疾病。”
约翰逊说,她喜欢对学生讲弓形虫和神经质行为之间的关联。

“一项研究发现,你如果感染了这种寄生虫,就可能变得神经质,没人想这样,”她说。
“我经常谈论这个。有一天,我对我的丈夫说起了这项研究,他说,‘我一直在课堂上讲这项研究。’”
她的丈夫皮特·约翰逊(Pieter Johnson)在科罗拉多大学教生物。
“所以我们觉得,我们应该合作,因为生物学家和商学教授难得有机会一起共事,”史蒂芬妮·约翰逊说。
他们开展了一项研究,对学生和参加创业研讨班的人进行测试。
“我们想,如果那些发现是正确的,那么也许能预测创业这种冒险行为,”约翰逊说。
“创业不是个好主意,因为风险大于回报。成功的人少之又少。”
他们对近1500名学生和近200名参加创业研讨班的人进行了弓形虫抗体唾液检测。
总的来看,22%的受试者拥有弓形虫抗体,这意味着他们曾在某个时候被感染。
他们发现,被感染的学生,主修商学的可能性高出1.4倍,偏重“管理和创业”的可能性高出1.7%。
在参加创业研讨班的人中,被感染者自主创业的可能性是未被感染者的1.8倍。

约翰逊说,他们将继续测试这种关联。“我们接下来的研究是关于保守性,看看弓形虫病会不会影响保守性,”她说。
她还想看看成功的创业者感染比例是否更高。“万一由弓形虫检测阳性者创建的公司都失败了呢?万一那种恐惧本身是好事呢?我们想知道答案。”
翻译 | 于波;校对 | Lily;来源 |NBC News



评论