冠脉支架植入术是心血管内科的常规手术之一,利用含碘离子的造影剂使血管显影是其中必不可少的步骤,对于介入医生来说造影剂相当于一盏“灯”,医生向血管里推注的造影剂,在X线指导下,显示血管的走向和导管、导丝的位置,精确定位支架的位置,操作方便。但是,部分冠心病患者对造影剂过敏、或者患有严重的肾功能不全,无法接触造影剂或无法正常代谢造影剂,导致无法接受冠脉介入治疗,将长期承受冠心病带来的病痛,影响正常生活甚至生命质量。
目前冠脉介入治疗领域越来越多的专家关注到这部分患者的治疗,期待能够采用新的影像学技术帮助患者解除病痛,但零造影剂介入治疗,相当于“盲”操作,看不清前面的“道路”,对术者及手术团队技术要求极高,目前国内乃至全世界范围内实际完成的此类手术例数很少。
2019年07月19日,我院心内科团队采用先进的影像技术,为严重肾功能不全患者成功施行“零造影剂”支架植入术。该患者为65岁女性,肾小球滤过率12ml/min,反复发作心绞痛,多种药物治疗仍不能有效减少心绞痛发作,病人迫切需要介入治疗,但是患者肾脏情况又不允许使用造影剂,所以决定采用血管内超声指导冠脉介入治疗。手术团队术中准确判断冠脉开口,建立手术通路,成功输送IVUS超声导管依次进入各冠脉血管。通过IVUS确定罪犯血管为右冠状动脉,病变部位为右冠开口至中远段弥漫病变,狭窄80%以上,病变性质复杂,近段血管有270度以上不连续的深、浅层钙化,再次增加了手术难度。经IVUS准确测量病变长度和血管直径后,分析IVUS影像结果,综合考虑病变情况制定手术策略,精准地于右冠脉植入2枚支架,顺利完成手术。术后患者症状显著缓解,3天后出院。
“零造影剂”
PCI术需术者具有丰富手术经验和非常成熟的影像技术,以及术者、护士、技师的整体高度配合,我院心内科及导管室护士、技师团队在此次手术中展示了高超的手术技术及高质量的团队配合,体现了心内科团队影像及手术技术的新高度。

IVUS扫描:判断病变性质、测量血管直径、病变长度
定位支架着陆点,确定支架尺寸。

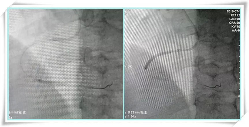
释放支架

IVUS:远段支架扩张充分、贴壁良好

近段支架扩张充分、贴壁良好


评论