编译|一见财经
1月31日,权威医学期刊《新英格兰医学杂志》(NEJM)在线发表了一篇关于美国新型冠状病毒病例的论文,介绍了美国首例确诊病例的诊疗过程以及临床表现。
这篇论文对目前国内疫情抗击具有很大的借鉴意义,对普通大众更详细的了解新冠病毒也有很多好处。
患者基本情况
这名患者是一位35岁的男性,是华盛顿州斯诺霍米什县(SnohomishCounty)居民。之前美国CDC并没有公布患者的国籍。
1月15日,他结束了在武汉的探亲,返回美国。返美后的第一天,就开始咳嗽。第二天,在咳嗽之余,他还自觉有一些发热。第三天,他选择在家休息,并依旧感觉有发热现象。
后来,这位患者了解到美国CDC的健康警报后,结合自己的症状和武汉旅行史,决定去看医生,当地时间周一(1月19日)下午他被证实感染了冠状病毒,这是美国首次报告的病例。
论文显示,该患者到诊所检查时,是戴着口罩的,等待大约20分钟后,他被带到检查室接受了相关评估。
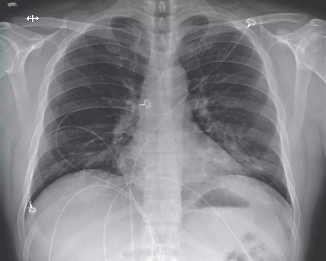
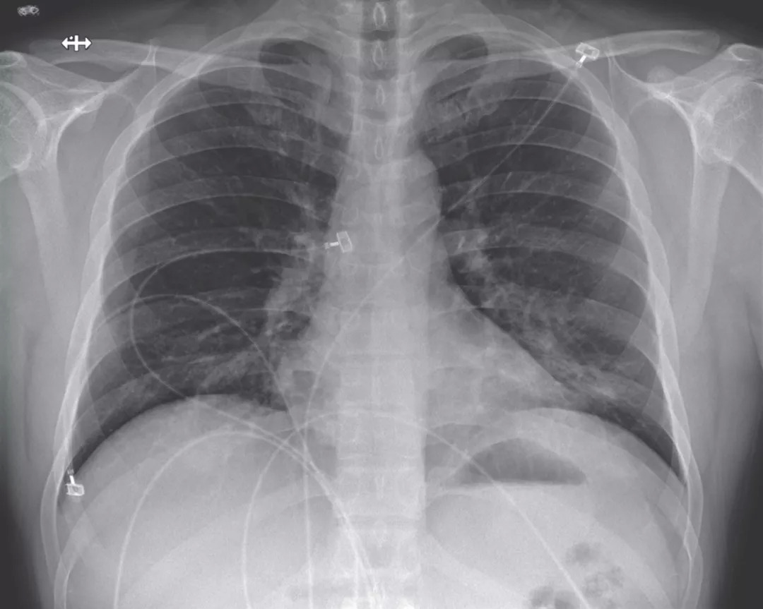
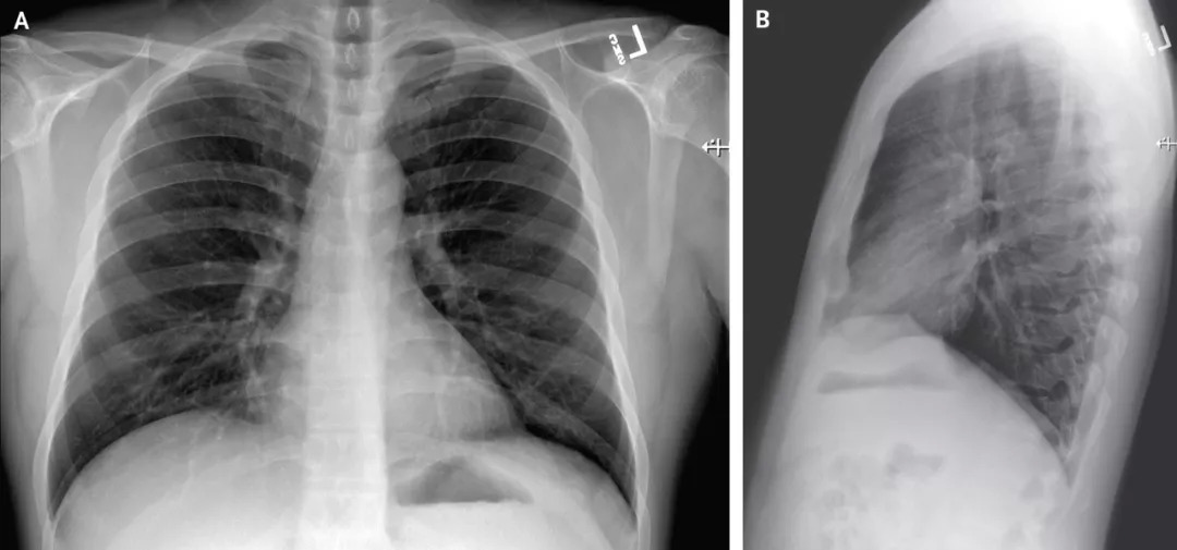
检查发现,该男子除了有高甘油三酸酯血症的病史外,体温为37.2°C,血压为134/87mmHg,脉搏为每分钟110次,呼吸频率为每分钟16次,氧饱和度为96%。肺部听诊显示有支气管炎,并进行了胸片检查,不过,未显示异常。

图一:后胸部和外侧胸部X光片
此外,甲型和乙型流感的快速核酸扩增检测(NAAT)为阴性。医生还获得了患者的鼻咽拭子标本,并将其送去检测病毒性呼吸道病原体的部门。在48小时内,所有检测的病原体均呈阴性,包括甲型和乙型流感,副流感,呼吸道合胞病毒,鼻病毒,腺病毒和已知会导致人类疾病的四种常见冠状病毒株(HKU1,NL63、229E和OC43)。
1月20日,美国CDC证实,该患者的鼻咽和口咽拭子通过实时逆转录酶-聚合酶链反应(rRT-PCR)分析检测为2019-nCoV阳性。在CDC专家,州地方卫生官员,紧急医疗服务以及医院领导和工作人员的陪同下,患者被送往普罗维登斯地区医疗中心的隔离病房进行临床观察。
在接下来的5天里,除了伴有心动过速的高烧之外,这名患者的主要生理指标依旧维持稳定。不过在住院后的第二天,他出现了腹泻和腹部不适。值得一提的是,在腹泻的粪便样本中,医生们检测出了新型冠状病毒的存在(rRT-PCR结果阳性)。
1月22日,该院传染病科主任迪亚兹告诉英国卫报记者,病人的情况“令人满意”,但他没有透露病人还将在病房里呆多久。
迪亚兹说,病人的隔离病房约为36平方米,他坐在房间窗外操作医疗机器人。机器人配备了摄像头、麦克风和听诊器。据悉,这是该医院降低病毒传播风险的许多方法之一。
详细治疗过程
隔离治疗期间,治疗在很大程度上是支持性的,为了进行症状处理,患者需要根据需要接受解热疗法,该疗法包括每4小时注射650毫克乙酰氨基酚、每6小时注射600毫克布洛芬。
从住院第3天开始,医院对患者进行了全血细胞计数和血清化学研究。在医院第3天和第5天的实验室结果反映出白细胞减少症,轻度血小板减少症和肌酸激酶水平升高。此外,肝功能指标也有所变化:碱性磷酸酶(每升68U),丙氨酸氨基转移酶(每升105U),天冬氨酸氨基转移酶(每升77U)和乳酸脱氢酶(每升465U)的水平在住院的第5天所有升高。
在住院的前六天,患者还因持续咳嗽而服用了600毫克愈创甘油醚和约6升生理盐水。
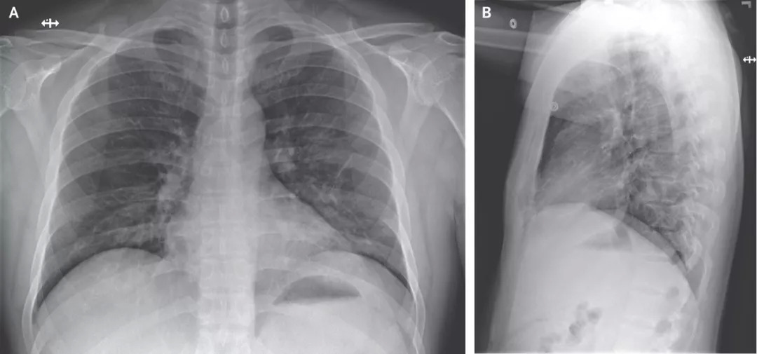
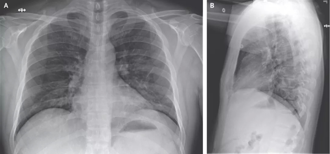
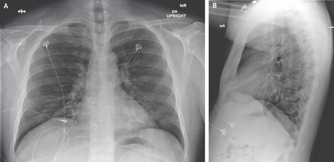
在医院第3天拍摄的胸部X光片未显示浸润或异常迹象(图三)。但是,从医院第5天晚上晚上进行的第二次胸部X光片显示,左肺下叶有肺炎的迹象(图四)。

图三

图四
这些影像学发现与从医院第5天晚上开始的呼吸状态变化相吻合,当时患者在呼吸周围空气时通过脉搏血氧饱和度测定的血氧饱和度值降至90%。在第6天,患者开始接受补充氧气,该氧气由鼻导管以每分钟2升的速度输送。
后来,考虑到临床表现的变化和对医院获得性肺炎的关注,医院开始给患者使用万古霉素(1750mg负荷剂量,每8小时静脉注射1g)和头孢吡肟(每8小时静脉注射)治疗。
在医院第6天,第四次胸部X射线照片显示两个肺中都有基底条状混浊,这一发现与非典型肺炎相符(图5),并且在听诊时在两个肺中都出现了罗音。鉴于放射线影像学发现,决定给予氧气补充,患者持续发烧,多个部位持续出现2019-nCoVRNA持续阳性的情况,并发生了严重肺炎。

图五
在患者住院的第7天晚上,医院开始使用静脉注射瑞姆昔韦(一种正在研发中的新型核苷酸类似物前药)进行治疗,未观察到与输注相关的不良事件。在对甲氧西林耐药的金黄色葡萄球菌进行了连续的降钙素原水平和鼻PCR检测后,在第7天晚上停用万古霉素,并于第二天停用头孢吡肟。
在医院第8天,患者的临床状况有所改善。医院开始停止补充氧气,患者在呼吸周围空气时的氧饱和度值提高到94%至96%。先前的双侧下叶罗音消失了,食欲也得到改善,除了间歇性干咳和鼻漏外,没有其他症状。
截至2020年1月30日,患者仍住院。他有发热,除咳嗽外,所有症状均已缓解,咳嗽的程度正在减轻。
论文显示,该患者在接受一种被称为伦地西韦(remedesivir)(另译为:瑞姆昔韦)的新药治疗后,病情得到显著缓解。这药物的研发公司为吉利德(Gilead)。
据了解,在主治医生的要求下和当地监管部门的支持下,权衡了使用试验性新药的利弊,吉利德为很小一部分新型冠状病毒肺炎患者提供了伦地西韦,在别无选择的情况下用于紧急治疗。
吉利德在31日发表声明称,该公司已经与中国医疗机构合作进行临床试验以验证其安全有效性。
Gilead在声明中强调,该药目前在全球任何地方都没有正式获批,也并没有被证实任何使用方面的安全性。
值得注意的是,1月28日,中科院武汉病毒研究所与军事医学科学院毒物药物研究所也提及了伦地西韦,他们联合发现了在细胞层面上对新型冠状病毒(2019-nCoV)有较好抑制作用的伦地西韦(Remdesivir,GS-5734)、氯喹(Chloroquine,Sigma-C6628)、利托那韦(Ritonavir)等三种已有药物。
*文章来源于《新英格兰医学杂志》,一见君翻译整理


评论