滥用药物对肝脏带来不可逆转的伤害
首先我们看下面的例子,小伙治疗脱发本是个无伤大雅的小问题,但不切当地治疗和过度使用何首乌导致最后肝功能衰竭。通过这样的例子来提醒大家,肝脏对人体是非常重要的,稍不注意的饮食作息、药品药物都会给肝脏带来不可逆转的伤害。

国家食品药品管理局在2014年提出,要特别关注药品、保健品中何首乌的用量,对于每天的剂量,特别是肝功能不全、有家族肝病病史要特别警惕。

肝脏相当于人体的“化学工厂”
那么,肝脏到底是个什么样的器官,有什么样的功能?肝脏是人体最大的实质性器官,重量相当于体重的2%。其功能也非常多,包括代谢、合成、生物转化、分泌胆汁等,有个很形象的比喻是把肝脏比喻成人体一个巨大的“化学工厂”,也就是说,肝脏24小时都在为我们发挥各种功能。

肝脏参与物质合成和代谢
我们每日饮食中必不可少的三大营养物质:蛋白质、脂肪、淀粉,很多人认为“吃什么补什么”,但实际上我们吃进去的营养物质都不能直接被利用,而是要经过肠道,通过消化液进行分解之后,进入肝脏里面,再通过肝脏进行合成,这时才能够被人体所利用。这就是肝脏非常重要的功能:参与物质的代谢和合成。

肝脏是重要的排毒器官
第二个重要功能就是我们常说的肝脏解毒,中医也把肝脏称为“重要的排毒器官”。怎么理解肝脏的解读功能呢?无论是身体自身产生有害的代谢废物,还是我们外来接触到的,都需要肝脏地转化和解毒。肝脏功能非常强大的时候,像一些食品添加剂、致癌物质都可以进行转化,但肝脏的解毒还是有一定限度的,如果我们大量地摄入、长时间慢性摄入或接触有害物质,或肝脏本身已经有疾病的,像肝炎、酒精性肝病等等,也会导致毒素在身体里面集聚过多出现中毒。

胆汁是在肝脏里合成的,而非胆囊
肝脏另外一个重要功能是生成胆汁,很多人认为胆汁是在胆囊里生成的,事实上胆汁主要的成分是在肝细胞里面进行合成,在肝脏里合成的物质通过肝内导管逐级汇合到胆管,最终进入到肠道里面去。胆汁每天正常的量是在600-1000ML左右,胆囊是储存和浓缩胆汁的器官,如果不吃饭,胆汁在胆囊里保存,当我们进食特别是吃些特别油腻的食物后,胆囊收缩,胆汁通过胆管进入肠道当中。如果肝脏功能受损,往往会连带一些跟胆汁分泌或胆汁代谢异常的疾病。有个成语叫“肝胆相照”,就是说肝脏疾病和胆脏疾病密不可分。

肝脏有强大的再生功能
肝脏还可以进行合成像凝血物质,如果我们肝脏功能不好,会出现凝血异常,就容易出现出血不止的现象。另外肝脏还可以帮助调节身体的血容量,发挥强大的免疫功能,有些疾病发生是因为免疫功能受损的影响,肝病、病毒性肝炎也是跟肝脏免疫功能密切相关。正常肝脏有强大的再生功能,如果切除肝脏的60%,剩余30%的肝脏仍然能够满足我们日常的生理功能。但如果肝脏本身有疾病,再生功能就会大大衰退。
感觉右上腹有疼痛,应及时上医院平时我们该注意些什么呢?首先应注意外伤,肝脏容易受到外力导致受损,而这种因为撞击或刀刺引起的破裂又是致命性的,所以如果发现右上腹(肝脏位置)有疼痛,就要快点上医院做检查。

肝脏一旦出血,就会变得非常危险
可以通过超声、CT检查来判断肝脏是否完好,一旦有受损,就要尽快接受包括手术在内的各种治疗。下图可以看出,正常肝脏是灰灰的,白色是血管,但如果看到肝脏边缘发黑了,就说明肝脏受损。肝脏比较脆,血液非常丰富,出血就变得非常危险。

导致肝脏损伤第二大主因是肝炎病毒,其中特别强调的是乙肝。

中国接近1亿人感染乙肝
乙肝对很多人并不陌生,无论是哪个年龄层,接触乙肝病毒都有可能被感染。中国最新数据统计有将近1亿人口感染了乙肝病毒,当然很多乙肝病毒是不发病的,我们把这群人叫做乙肝病毒携带者。
在这1亿人群中有2千万人群是慢性肝炎患者,目前我们对乙肝的治疗主要是针对有肝功能受损的肝病患者。那么剩下这7千多万乙肝病毒携带者,也是不能掉以轻心的,需要在日常生活当中避免乙肝病毒活化或转化为更严重的疾病。
乙肝病毒进入人体之后会感染肝脏细胞,我们自身的免疫功能能够把乙肝病毒清除,那么病毒就在身体里面长期的潜伏下来。在一些诱发因素或身体出现变化时候,病毒就会活化了。肝脏不断地自我修复、再生,但是这种再生的肝细胞不是正常肝细胞,就会出现肝炎或纤维化,有一部分人就发展成为肝硬化,肝硬化中有一部分人会转化为恶性肿瘤,还有一部分人会因为肝硬化越发严重出现肝功能衰竭,这些都是因为乙肝病毒感染出现的非常严重的后果。
那么我国这1亿人当中到底会有多少人发展成为肝硬化或肝癌呢?最新数据显示,每年我国新发肝癌的人数在40万左右,如果每年都是这个数据,累计下来的话患病人群还是很庞大的。

乙肝病毒并不是一成不变的
对于乙肝病毒感染者,一定要定期检测,看乙肝病毒在身体的状态和肝脏的功能,同时还建议要筛查肿瘤标记物,特别是甲胎蛋白,每半年查一次。乙肝病毒在身体里并不是一成不变的,很多人在查一次身体之后发现正常,然后就连续几年不做检查,实际上是非常危险的。因为人体免疫功能对于病毒的清除和病毒活化导致的肝炎在早期是没有任何症状的。感染乙肝之后其实很多人是不知道的,如果家人有乙肝,一定要查一查是否自己也被感染了,因为乙肝传播的主要途径是母子传播。

乙肝患者必须远离酒精
一旦发现自己有乙肝了,一定要远离酒精。饮酒对于肝脏的损伤是非常严重的,很多肝癌患者、肝硬化病人大部分是那些慢性乙肝和长期饮酒的。

在饮食上要保证营养结构的均衡搭配,一些高脂肪、高油脂是不建议的,多吃新鲜蔬菜和水果,补充必要的维生素,尽量少吃辛辣食物。食品添加剂、加工类食品等这些需要肝脏解毒的,如果肝脏已经处于病毒感染状态,我们再吃这些食品就会给肝脏造成负担。

乙肝感染者家人要接种乙肝疫苗
乙肝感染者的家人,包括子女、配偶,一定要做检查,如果是婴幼儿检查了没感染,要尽早接种乙肝疫苗。

不要相信乙肝病毒抗原的转阴
现在很多不正规的医疗广告和医疗机构宣传说能够把乙肝病毒清除或让乙肝转阴,乙肝转阴通常指由乙肝大三阳转为乙肝小三阳,并不是说病毒完全清除,而是通过治疗可能把乙肝病毒活跃的状态变为低负值状态,对肝脏损伤小些。但乙肝病毒的抗原如果是阳性,目前的治疗对乙肝病毒抗原的转阴是没有效果的。如果是乙肝病毒携带者,定期做检测就可以了,那些不正规医疗机构宣传的所谓中草药治疗、细胞治疗等并不能清除乙肝病毒,反而会对肝脏造成损伤,甚至会把本来不活化的病毒活化了,切记不要盲目治疗。除了母子传播,乙肝还能通过输血进行传播,不健康输血、血制品、血浆都有可能会感染乙肝。另外一个传播途径就是性接触,配偶互相感染乙肝的例子屡见不鲜,如果家人有乙肝,自身要尽快去接种乙肝疫苗。

抗病毒药物可抑制病毒复制而无法清除
慢性肝炎可以通过抗病毒药物来抑制乙肝病毒复制,减轻肝脏炎症,但只能抑制病毒复制而不能完全清除病毒。

饮酒会引起酒精性肝病饮酒也会导致肝脏损伤,长时间大量饮酒导致的酒精性肝病。

为什么饮酒会导致酒精性肝病?
原因是肝脏是酒精代谢的主要器官,而酒精不是身体必须的营养物质,所以在身体里面要想办法转化成为乙醛、乙酸,最后分解为二氧化碳和水,这个过程都是在肝脏里面代谢分解的,饮酒越多,肝脏负担越大。像每天摄入高度白酒二两以上,持续五年之后一定会出现酒精性肝病;短时间内大量饮酒,连续2周喝四两以上的烈性酒,就会有酒精性肝炎的表现。但这时的验血不一定可以发现肝功能异常,因为肝脏再生功能很强,酒精造成肝脏的伤害从而导致它不断地修复,反复地修复受损最终出现肝硬化。酒精性肝病在我国是非常常见的,很多人因为酗酒引起脂肪肝,严重会出现肝硬化。

要在酒精性肝病早中期戒酒戒酒,对于早期酒精性肝病患者还是可逆的。肝脏功能改善,包括之前出现的脂肪肝、肝纤维化等也能有所改善。如果到了晚期,这个时候的戒酒可能就晚了。

导致肝损伤的原因还有脂肪肝,怎么理解脂肪肝呢?

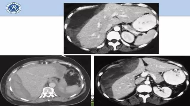
脂肪肝是肝细胞内部的脂肪含量增多导致
就像肥胖一样,脂肪肝是肝细胞内部的脂肪含量增多,每个肝细胞中的脂肪都是增加的。整体肝脏会增大,颜色会由健康的暗红色变成黄色,肝脏的功能也会严重受损。

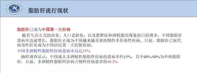
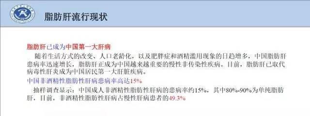
脂肪肝已成为中国第一大肝病
脂肪肝已成为中国第一大肝病,可见脂肪肝是现代人的常见病。除了饮酒引起的酒精性脂肪肝外,还有很多人是非酒精性脂肪肝,有些人吃素不吃肉,同样也会患上脂肪肝。无论是什么原因引起脂肪肝,这一部分人群已经占到了我国15%以上,比乙肝人群还要多。

脂肪肝还与肥胖和糖尿病有关与饮酒无关的脂肪肝还有两种原因,一个是肥胖,另一个是糖尿病。

还有些内分泌紊乱、外来毒素、药物、营养不良、肝炎都可能会导致脂肪肝。

脂肪肝使慢性病治疗变得困难
脂肪肝的后果是与慢性疾病密切相关,如果有高血压、糖尿病等,再合并脂肪肝,就会使治疗变得困难些,因为代谢、解毒功能都是在肝脏里完成的,肝脏出问题,这是肝脏发挥的作用就会大大下降。脂肪肝在于预防,不在于治疗发现脂肪肝并不可怕,通过改善生活方式来治疗轻中度脂肪肝还是很有帮助。不提倡过度依赖药物来治疗脂肪肝,到目前为止没有确切的药物能让脂肪肝逆转,因为脂肪肝是跟生活习惯密切相关的疾病,改善不健康的饮食和生活,控制体重对于预防脂肪肝更重要。

肥胖性脂肪肝要控制热量摄入与肥胖相关的脂肪肝,一定要控制热量的摄入,如果吃了过多的主食,这些糖分在身体里边不能完全被消耗掉的时候,就会转化为脂肪。

药物也会引起肝损伤肝损伤
还有一原因就是药物,包括处方药、药店里自己买到的药物、天然中药、保健品、食物添加剂等等,这些都有可能对肝脏造成损伤,也是在生活中容易被忽略的。

如今已经证实,在药物里有上千种药物藏有对肝脏有损的毒性,使用药物之前要看药物说明,特别是那些有基础疾病的人群。

并非天然药物就对肝脏无害
并不是天然药物对肝脏损伤就小,任何药物达到一定剂量,都可能会伤肝。还有些人群是特异质性肝损伤,就是哪怕是吃一点点药物都可能会引起很严重的肝损伤。所以用药时还是建议在医生的指导下完成,因为一旦出现肝损伤,会出现比较严重的后果。而现在包括很多保健品、减肥药、治疗慢性病的药物中,伤肝的未必会提到,所以说药物还是不要滥用。

黄曲霉毒素在生活中常出现
黄曲霉毒素是一种会导致肝癌的强致癌物,这种致癌物在日常中是很常见的,特别像粮油或动植物油、南方比较潮湿的地方或储存食物不当都可能会被黄曲霉毒素污染。不要小看这种黄曲霉毒素,在临床肝癌治疗是非常重要的。一些不好的习惯像食物发霉舍不得扔还要吃掉,吃进去这些被黄曲霉毒素污染的食物就会导致很严重的后果。

怎么辨别呢?当吃花生、玉米等食物的时候感觉苦了,不要继续吃下去。不是通过正规途径来的有可能会引起变异的食物不要随便买,像自制食用油、小作坊做出的食用油很难避免黄曲霉素不超标。

对于慢性肝病或肝受损的人群该怎么来注意?饮食上可以吃一些精细的米、面,或一些红薯、小米等这些对肝脏有帮助的。

选择一些优质的蛋白质,像鱼、家禽类、鸡蛋、豆制品、牛奶。如果肝功能已经很差的情况下,对蛋白质的摄入还是要有度。

适量地摄入脂肪和胆固醇还是可以的,一些奶油、人工合成的脂肪类食物还是尽量不要去吃,选择脂肪含量偏低的,还有一些多不饱和脂肪酸像橄榄油。

如果需要服用保肝药物,建议还是在医生的指导下,根据不同情况来选择最适合自己的药物。



评论