文|聚美丽 喵 喵
在美国的硅谷、波士顿等地,活跃着一批在美容科技、合成生物技术前沿探索的创新公司,是美国乃至全球美容、化妆品的创新中心之一。
根据 Custom Market Insights 发布的市场研究报告,全球抗衰老市场规模 2030 年将达到 1196 亿美元(约合8600亿人民币)。随着“健康衰老”理念的持续渗透,预计未来全球抗衰老市场规模将持续增长,具有巨大的发展潜力。如果衰老是一种疾病,随着科学技术的进步,人类实现治愈衰老逆转年龄的梦想似乎指日可待。
和中国一样,美国也涌现出大量的抗衰护肤品牌,各家在“科学故事”、“变美科技”的维度上展开了激烈的竞争。今天我们选择了其中一家“不明觉厉”的前沿技术型护肤品牌,以期给带给广大国货功效品牌一些不一样的启示。
今天介绍的OneSkin公司诞生于硅谷著名的生物科技孵化器MBC BioLabs,由四位来自巴西的博士创立。目前已经成功融资750万种子基金,投资方有IndieBio、SOSV、和2FutureHolding。知名投资人Peter Diamandis也是OneSkin的董事会成员之一。
OneSkin的产品除了登上过各大时尚美容杂志外,也曾登上过如硅谷著名生物极客Dave Asprey和哈佛大学著名遗传学教授Dr. David Sinclair的电台节目。OneSkin一直强调自己不单单是一家护肤品公司,而是一家长生公司。她们用了4年时间成功研发出OneSkin的第一款产品 - Skin Supplement。

从左到右分别是:生物化学和基因组生物信息学Mariana Boroni博士,分子生物学Juliana Carvalho博士,免疫学和组织工程学Carolina Oliveria Reis博士,干细胞生物学Alessandra Zonari博士,图片来自OneSkin官网
OneSkin的联合创始人Boroni在2016年开发出了一款名为Molclock的生物年龄计算器(https://www.molclock.com/ 意为细胞时钟),用来识别皮肤细胞中与年龄相关的表观遗传变化从而判断细胞年龄。
表观遗传(Epigenetic)是指在不改变DNA序列的情况下,受环境因素影响导致基因表达发生可遗传改变,这些改变都与人们的生活方式息息相关,如是否抽烟、饮酒、日晒频率、饮食运动、生活环境,以及心理压力等。
Molclock的数据采集也来自多个方面,有从皮肤细胞中提取RNA,分析真皮和表皮中多达 20 种不同基因的表达;同时也使用了皮肤组织结构分析,在显微镜下观察皮肤切片的细胞结构,与标准年龄细胞结构进行对比;甚至还包括分析皮肤的蛋白质产生和DNA 损伤等等。
Molclock的算法训练使用了来自500多个人类皮肤样本和2000多个DNA甲基化标志物数据。为了让Molclock收集的数据更加全面客观, OneSkin使用了实验室特制的培养皿仿真皮肤模型(Human Skin Equivalent,HSE)进行体外测试。培养用的皮肤细胞(成纤维细胞和角质形成细胞)均来自从不同种族和年龄阶段的捐赠者。
区别于其他公司只测试新生儿皮肤模型,OneSkin不仅检测年轻的皮肤,也会检测其它各个年龄阶段,如30-70岁等,实现了可以同时检测上千种不同类型/年龄的皮肤样本。之后也证实,实验室的HSE体外测试结果与真人皮肤活检取样后的临床测试结果相吻合。

仿真皮肤模型 (Human Skin Equivalent ),图片来自OneSkin官网

仿真皮肤模型 (Human Skin Equivalent)与真人皮肤切片的细胞结构对比,图片来自OneSkin官网
通过使用细胞时钟Molclock与仿真皮肤模型Human Skin Equivalent这两样利器,OneSkin先后筛选了超过1000多种抗衰多肽,终于在2018年发现了OS-01,一种可以穿透角质屏障的十肽:

OneSkin的专利十肽(OS-01)结构,图片来自OneSkin官网
OneSkin的专利十肽(OS-01)经过多项临床试验证明除了拥有常见的增加皮肤弹性、刺激胶原蛋白生成、除皱保湿等功效外,最独特的是它可以经由降低衰老细胞(俗称“僵尸细胞” Senescent Cells)的累积降低皮肤的“生物年龄”,可以将衰老细胞减少多达25-50%以上。让皮肤不仅仅是看上去更年轻了,而是修复细胞,尤其是紫外线造成的损伤,从功能上真正让皮肤年轻,延长皮肤的生命周期。

科学家利用β-半乳糖苷酶(Beta-Galactosidase)染色后的衰老细胞,右图为使用过OS-01衰老细胞数量明显降低,图片来自OneSkin官网

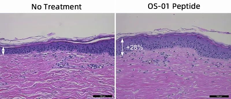
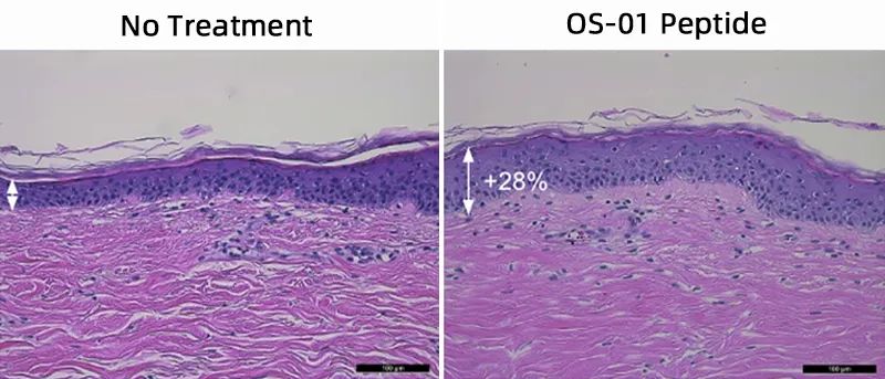
来自55岁皮肤的细胞结构使用前后对比图,右图为使用过OS-01皮肤明显增厚,图片来自OneSkin官网
所谓的“僵尸细胞”就是细胞在停止分裂前会进入衰老期,当衰老启动时,关键因子CDK-1和Lamin B1(细胞周期依赖性蛋白激酶-1与核纤层蛋白)的浓度下降,此时的细胞不死不分裂繁殖,仿佛僵尸一般在体内散播衰老介质(Cytokines),导致周围健康的细胞也开始发炎,甚至导致干细胞衰竭。通常在健康的年轻人体内,免疫系统能及时清除这些“僵尸细胞”,但随着年龄的增长,清理变得缓慢,“僵尸细胞”就会逐渐累积。

正常细胞转变为衰老细胞的示意图,图片来自National Institutes of Health
很多细胞生物学家相信,尽管少数的“僵尸细胞”可以起到愈合伤口或阻止癌细胞扩散的作用,但随着年龄增长“僵尸细胞”的积累可能是造成老化的元凶。“僵尸细胞”的累积也与许多疾病有关,如糖尿病、关节炎、心血管疾病、甚至癌症等。
相较于身体其他部位的器官,皮肤,这个人体最大的器官,更容易曝露在外部环境压力之下,如紫外线、空气污染、寒冷等等。细胞衰老启动后,还会增加和激活MMP-1(基质金属蛋白酶-1),MMP-1分解弹力蛋白和胶原蛋白,造成胶原蛋白断裂和皮肤屏障受损等,让皱纹更深,皮肤弹性更差。
来自梅奥医院的James Kirkland医生及其团队就曾经进行过实验,将提取后的“僵尸细胞”转移到年轻的小鼠身上,这些细胞迅速扩散,污染健康的细胞,导致小鼠多处器官发炎甚至衰竭。但将“僵尸细胞”移除后,小鼠又恢复了活力,变得更加年轻,甚至毛发密度和肾功能都有改善。来自约翰霍普金斯大学的医学工程师Jennifer Elisseeff也发现,单单清除小鼠体内的衰老细胞就能刺激受损的软骨组织重新生长。

两只双胞胎小鼠,右边的小鼠因被移除衰老细胞后看起来更加年轻,图片来自梅奥医院
同时,OneSkin发表的研究论文表示,多项临床实验数据都证实OS-01在皮肤抗衰老,促进胶原蛋白生成,透明质酸生成,和屏障修复方面都优于传统A醇/A酸。传统A醇/A酸利用刺激细胞更新来促进表皮脱落从而达到抗衰的作用,但对于干燥或敏感性肌肤,A醇/A酸通常过于刺激,如果使用不当甚至还会对皮肤造成长期的损害,如使皮肤变薄等。OS-01可以在不刺激皮肤的情况下更安全有效地提高细胞修复能力,清理衰老细胞。

使用 OS-01 与A醇治疗后基因表达分析结果,可以看出OS-01在降低衰老和炎症方面优于A醇,胶原蛋白与透明质酸的生成结果也与A醇相当,图片来自OneSkin官网
OS-01 的作用机制类似于在皮肤表面涂抹雷帕霉素(Rapamycin,RAPA,一种临床使用的免疫抑制剂,可以清除衰老细胞),却不会产生类似的副作用。虽然不能对衰老细胞产生直接的破坏,但却降低了衰老细胞的产生和活性,这使得人体免疫系统能有更充足的时间来及时清除衰老细胞。
OS-01主要是针对衰老相关分泌表型(SASP)中的炎症因子IL-6, IL-8 and MMP-1。OS-01 通过与细胞膜中的受体结合并与细胞膜中的细胞质相互作用,从而调节控制氧化应激和炎症的途径。在三维皮肤模型和活检样本的测试结果中显示,OS-01 增强了 DNA 的修复机制并下调了与衰老相关的信号通路,从而降低了衰老细胞的产生和累积。
OneSkin也进行了一项为期 12 周的双盲临床研究,由22名年龄在 47 至 65 岁之间的女性参与者组成。参与者在12周之内每天两次,在右脸涂抹不含有OS-01的精华,在左脸涂抹含有OS-01的精华。调查结果显示:

所有使用者的左脸皮肤屏障平均增加了15%90%的用户表示皮肤弹性增加了
95.5%的用户表示皮肤的均匀度,光泽、毛孔和紧致度都有所提升
87%的用户表示细纹和皱纹都有所减少
100%的用户表示皮肤的整体外观和光滑度都提升了
不少Reddit上的使用者表示,使用3-6个月后就能感到明显变化。OneSkin精华乳还可以减少面部痤疮,让痤疮更快愈合,说明该产品适用于所有类型的肤质。
谈到OneSkin强调的穿透角质层这一点,虽然OS-01十肽的分子量是1182道尔顿,理论上一般超过500道尔顿的分子是很难穿透角质屏障的,但分子穿透角质层的能力不仅仅取决于分子大小,还包含了分子的极性和溶解度。OS-01带有轻微的正电荷,加上配方本身的乳化系统模拟了角质层的细胞外脂质,从而促进了渗透。

OneSkin精华乳(OS-01 FACE Topical Supplement)产品展示,图片来自聚美丽记者

乳液质地展示,图片来自聚美丽记者
该产品无香料无色素,OS-01也经过多项皮肤过敏试验(RIPT)和毒性测试,没有发现任何不良反应,记者使用后也没有出现任何毛孔堵塞或过敏反应。精华乳除了含有专利OS-01十肽,还含有以下活性成分:
Calycophyllum Spruceanum Bark Oleic Extract (Pau Mulato) 云杉光皮树树皮萃取:抗菌消炎和抗氧化。
Carapa Guianensis Seed (Andiroba) Oil 酸渣树油:促进胶原蛋白合成,抗发炎,促进细胞更新与修复。
Pentaclethra Macroloba (Pracaxi) Oil 巴卡斯果油:促进伤口愈合,抗氧化,抗发炎,抗压力。
Niacinamide 烟酰胺:美白,控油,抗老,修复角质层脂质屏障,提高皮肤抵抗力。
三种不同分子大小的透明质酸:大分子的可以成膜保湿隔绝污染,小分子的可以修护,抗氧化,抗炎和抗老。
聚美丽记者亲身试用了OS-01精华乳(FACE Topical Supplement),在使用了一个月后,记者肉眼可以明显观察到皮肤的光泽度增加了,皮肤质地更加细腻,不再容易干燥。两颊的泛红明显减少。
编后语
在今天的功效护肤大潮中,国货的竞争焦点往往落在创新原料、功效验证上,但其基础机理、生效逻辑、皮肤模型验证过程等却往往语焉不详,这就导致品牌的科学故事内容中证据链会有缺失,无法强力说服深度成分党如循证党专业用户及垂类KOL,为品牌进一步传播留下隐患。
本文选择的OneSkin品牌至少在如下方面做了独特的技术创新,并准备了清晰、可循证的科学故事,至少包含以下方面:
抗衰通路选择:清理“僵尸细胞”
功效测试:仿真皮肤模型体外测试
评测模型:Molclock的生物年龄计算器
专利原料:十肽(OS-01)的功效逻辑及证据
通过上述完整的内容框架,短短几千字,就让我们了解了该品牌的技术基础与独特功效。希望本文的案例能对你有所帮助。
本文作者Crystal Chen在明尼苏达大学攻读食品科学本科, 之后在威斯康星大学读过药剂学博士,曾在美国多家功效护肤品与纳米技术公司担任配方师、产品开发等职务。作为聚美丽驻美特约记者,她将带领我们走进美国前沿美容及化妆品技术公司与创新项目内部,带来关于美国同业的最新科技信息。
本文参考资料:1. Mesenchymal Stem Cell Senescence and Rejuvenation: Current Status and Challenges ,frontiers
2. The role of senescent cells in ageing ,PMC PubMed Central
3. Senescence and aging: Causes, consequences, and therapeutic avenues ,PMC PubMed Central
4. Senolytics in idiopathic pulmonary fibrosis: Results from a first-in-human, open-label, pilot .study ,eBioMeficine
5. In vitro and in vivo toxicity assessment of the senotherapeutic Peptide 14 ,ScienceDirect
6. Highly accurate skin-specific methylome analysis ,BMC
7. Calycophyllum spruceanum (Benth.), the Amazonian “Tree of Youth” Prolongs Longevity and Enhances Stress Resistance in Caenorhabditis elegans ,ResearchGate
8. Does cellular senescence hold secrets for healthier aging? ,National Institute on Aging
9. Human skin equivalents: Impaired barrier function in relation to the lipid and protein properties of the stratum corneum ,ScienceDirect
10. OneSkin’s 12-Week Clinical Study To Validate The Effects Of OS-01 FACE ,OneSkin


评论