文|聚美丽 小栗子
近年来,越发理智的消费者对化妆品的关注不再停留在“成分”,而是逐渐升级为对产品“功效评价”的重视,国家关于化妆品的法规要求中也逐渐重视产品多方位的功效评价。这些都促使各品牌以更严谨的态度对待产品开发,为产品出具功效评价报告。
在化妆品安全性和功效性评价中,动物实验是进行人体试验前的重要一环。
但近年来,研发过程中不采取动物实验的“零残忍”理念在国外深入人心,在国内也逐渐获得认可。2013年起,欧盟就全面禁止对化妆品产品和成分进行动物实验,澳大利亚、新西兰、印度等国也相继发布相关法令,我国国内也在逐步放宽对动物实验的要求。
寻找动物实验的替代方法成为化妆品行业的迫切需要,3D皮肤模型因此频繁地出现在功效评价报告中,不少人认为其有望代替动物模型进行化妆品的安全性和功效性评价。
那么,3D皮肤模型究竟是什么,在功效性评价中能提供哪方面依据,现阶段又有哪些前沿进展?本文就以上几点进行简要阐述。

模拟人体真实皮肤,从“表皮”到“全层”
在解释3D皮肤模型前,我们需要先清楚人体的皮肤结构。人体皮肤可分为3层:表皮、真皮及皮下组织。各层含有的具体结构和细胞组成请参照以下结构图和思维导图:

图:人体皮肤结构

而3D皮肤模型就是以人体皮肤细胞为材料、在体外构建出的、模拟人体真实皮肤三维结构的活性组织。
目前构建3D皮肤模型的方法主要有两种:组织工程技术和3D生物打印技术。组织工程技术本质上是用角质形成细胞和成纤维细胞在支架上进行培养,搭建表皮和真皮的模型,是一种体外培养细胞的方式。
3D生物打印技术则是以细胞、生物墨水为原材料,在生物打印仪器上进行模型打印,进一步后续培养的技术(下文“3D生物打印?逐渐接近‘真实’”一栏中将详细介绍)。
国内常见的3D皮肤模型可分为3种:表皮模型、黑素皮肤模型、全层皮肤模型。
3D表皮模型
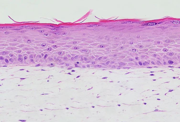
顾名思义,3D表皮模型模拟的是人体皮肤的表皮。自1979年首例含有功能性表皮层的皮肤模型构建以来,已经有多款皮肤模型在体外构建成功:其中包括法国的EpiSkin、SkinEthic RHE,美国的EpiDerm,德国的epiCS,日本的LabCyte EPI - MODEL,以及中国EpiKutis 和EpiSkin 。
其中EpiKutis 是由中国人皮肤组织分离出的角质形成细胞,在特定的培养环境下生成的活性组织(属于组织工程技术)。它与正常人体表皮高度类似,是具有典型的基底层、棘层、颗粒层及角质层的表皮复层化结构。

图:EpiKutis 表皮模型,图源博溪生物官网
EpiKutis 是目前国内首款实现产业化生产的皮肤测试模型,也是皮肤生物学研究和化妆品体外功效性评价的一个有效工具。
3D黑素皮肤模型
3D黑素皮肤模型则是在表皮模型的基础上,含有5%~10%不等比例黑素细胞的组织,目前在体外构建成功的模型有法国的SkinEthic RHPE、美国的MelanoDerm、德国的epiCS-M以及中国的MelaKutis 等。

图:MelaKutis 黑素皮肤模型,图源博溪生物官网
其中,据博溪生物官网显示,MelaKutis 具有高度类似于天然皮肤的黑素颗粒分布,其黑素细胞在体外能正常合成黑素,且能模拟受试物作用于人体皮肤后黑素细胞与表皮其他细胞的相互作用,对外界黑素细胞刺激因子如紫外光线(UV)、雾霾等具有应答反应。
3D全层皮肤模型
3D全层皮肤模型除了含表皮层外,还包括成纤维细胞构建的真皮层,基本模拟了人体皮肤的“全层”。
利用组织工程技术构建全层模型的过程通常如下:将活体的成纤维细胞在支架上培养形成真皮结构,再进一步与角质形成细胞进行复合培养形成全层结构。和人体皮肤一致的是,全层皮肤模型具备充分的真皮-表皮细胞相互作用。
目前已有多款3D全层皮肤模型在体外构建成功:其中包括法国的T-Skin、美国的EpiDerm FT、德国的Phenion FT以及中国的FulKutis 。

图:FulKutis 全层皮肤模型,图源博溪生物官网
现在,国内参与全层皮肤模型研究的企业较多,如伽蓝、贝泰妮、至本等均有一定研究。
其中,伽蓝在2017年申请了“一种3D全层皮肤模型及用于其形成的培养基、制备方法”的专利。此前,在2014年,伽蓝就启动了“3D皮肤细胞模型”项目,与法国皮肤实验室合作,成功用3D生物打印机打印出亚洲人的皮肤。
除上述三种模型外,在皮肤医学的研究过程中也会用到一些疾病型的皮肤模型,如痤疮、菌类感染皮肤模型。
如何应用于功效评价?
根据2021年药监局发布的《化妆品功效宣称评价规范》,初步判断,采用3D皮肤模型进行的功效评价属于实验室试验一类——体外试验中组织层面的评价。
(注:《化妆品功效宣称评价规范》将化妆品功效评价宣称试验分为人体功效评价试验、消费者使用测试和实验室试验3类。其中,实验室试验包括但不限于动物试验、体外试验(包括离体器官、组织、细胞、微生物、理化试验)等。)

图:截自《化妆品功效宣称评价规范》
一般来说,不同种类的3D皮肤模型适用的功效评价也不同。表皮模型通常用于评价皮肤屏障修护、保湿、UV防护、经皮吸收情况等,黑素皮肤模型用于评价美白效果,而全层皮肤模型则用于评价抗衰、皮肤含水量变化等相关功效。
3D表皮模型——屏障修护、安全性
上文提到,表皮模型模拟的是人体皮肤表皮,表皮中的角质层与皮肤屏障息息相关,故在进行屏障修护功效评价时可用该模型。
有研究显示,在化妆品屏障增强功效评价实验中,利用免疫荧光技术对不同处理条件下的 3D表皮模型EpiKutis 进行蛋白水平分析。与对照组相比,样品处理后,FLG与LOR均显著升高,证明样品具有同时促进FLG,LOR表达,提升皮肤屏障的功能。
(注:FLG是一种与皮肤屏障相关的蛋白,含量高反映皮肤屏障功能较好;LOR占角质层总蛋白的大部分,能加固角质层。)

图:FLG、LOR免疫荧光实验结果图,截自参考文献[2]
功效性物质发挥作用需要渗透进入活组织,故该模型与人体皮肤相似的皮肤屏障功能也可为经皮吸收研究提供有效工具。
除功效性评价之外,3D表皮模型更多被用于评价化妆品安全性,在这方面已有较为成熟的评价方法。
经济合作与发展组织(OECD)发布过体外皮肤组织模型的三个关键OECD测试指南,包括:a、皮肤腐蚀 (OECD TG 431);b、皮肤刺激 (OECD TG 439);c、皮肤敏化(OECD TG 442D),为皮肤模型的安全性评价提供了实践指南。
3D黑素皮肤模型——美白
基底层的黑素细胞产生的黑素是皮肤变黑、出现色斑的的“元凶”,故含有黑素细胞的3D黑素皮肤模型通常用于美白产品多维度的功效评价。
测试时可以将受试物直接涂抹于皮肤模型表面,UV照射培养后,观察相对于对照组模型的颜色和亮度变化,或定量检测表皮中黑素含量、酪氨酸酶活性和黑素合成及转运相关基因的表达情况。
博溪生物总经理卢永波在一次演讲中,曾展示过雅诗兰黛专研光透焕白精华素的美白功效评价案例:在户外紫外线(UVB)的照射下,涂抹该产品后的实验组,直观上色度明显比对照组要淡一些,其他的量化指标也能证明其美白效果。

图:雅诗兰黛专研光透焕白精华素的美白功效检测案例
并且他提到,3D黑素皮肤模型通过呈现组织的黑素分布形态,可以清晰地看出该产品的原理是抑制黑素合成,或是抑制黑素转运,同时也可获悉产品的温和性情况。
3D全层皮肤模型——抗衰
与皮肤老化密切相关的胶原蛋白位于真皮层,具有祛皱效果的透明质酸,其生理位置处于真皮层基质,故在评价产品抗衰功效时可采用包含真皮层的3D全层皮肤模型。有研究表明,一些蛋白质指标可以作为评价中的标志物,以量化测试结果。
随着皮肤老化,真皮与表皮的连接减弱、成纤维细胞数量减少、以及合成一些重要蛋白的能力减弱——如胶原蛋白、弹性蛋白和蛋白聚糖的含量发生变化,这些蛋白质的含量在一定程度上能反映皮肤强度、皮肤弹性、真皮含水量,从而指示皮肤的衰老情况。
伽蓝集团曾用3D全层皮肤模型对喜马拉雅雪松精粹和喜默因做过功效评价试验。
比如,在研究雪松精粹对皮肤真皮-表皮连接处(DEJ)的作用时,结果显示该活性物可以明显提高表皮的厚度,增加皮肤抵抗外界环境的屏障能力,并且在全层皮肤模型上可以直观地看到:其能显著促进DEJ重要蛋白层粘连蛋白5(Laminin 5)和VII型胶原蛋白(Collagen VII,Col VII)的表达。

图:Laminin 5、Col VII免疫荧光染色结果,截自参考文献[6]
(注:DEJ具有紧致表皮,进行真皮-表皮间物质交换的作用。研究表明,DEJ 的健康与否,直接影响皮肤的整体状态,维持健康的DEJ是预防衰老的关键;Laminin 5和Col VII是DEJ内的重要蛋白,两者表达量的增加能稳固DEJ结构。)
还有华熙生物也做过以全层模型上蛋白质含量变化,以显示产品功效的评价实验。
另外,有国外研究显示,全层皮肤模型可用于评估新原料引起的DNA损伤(遗传毒性)情况,在化妆品的安全性评价上具有一定意义。
从以上功效评价的例子中可以看出,比起细胞和单纯组织的体外试验,3D皮肤模型可以整合基因水平、蛋白水平与组织水平的多维度数据。
此外,有学者表示,传统功效评价采用的动物模型与人类在生理功能、组织结构、代谢途径以及遗传应答等方面具有种间差异,实验结果外推到人类时具有不确定性。而人体临床评价对评估者的经验有一定要求,且成本较高。这2种方法的评价周期较长、重复性差、精确度低。
而3D皮肤模型相对来讲,试验周期短、实验条件可控且结果易于定量,故其在功效评价中的运用受到越来越多化妆品企业的重视。
3D生物打印?逐渐接近“真实”
随着需求的提升和科研的持续深入,3D皮肤模型的发展在不断贴近人体天然皮肤结构的同时,生产方式上也持续更新,以提高模型的精度和可重复性。
3D生物打印——高精度、可重复、可定制
上文提到,构建体外皮肤模型的方式有组织工程技术和3D生物打印技术。率先发展的组织工程技术由于对细胞和材料的沉积控制有限,故构建出的皮肤模型不能完全概括天然皮肤的结构。
而3D生物打印能够使用计算机辅助设计(CAD)预先定义活细胞、生物材料和生长因子的沉积,从而通过具有高精度和可重复的逐层打印过程制造可定制的结构,仿生性更强。
3D打印皮肤的制造过程可分为四步:a、前处理:包括皮肤细胞选择、生物材料选择和模型设计;b、实际打印过程;c、后处理:包括3D打印皮肤细胞的增殖、组织的形成和成熟;d、3D打印皮肤的评价:包括皮肤组织的生化和生理特征。

图:3D打印皮肤的制造过程,图源药大妆妍
目前,3D打印的皮肤模型在国外处于“蓬勃发展”发展阶段,不少生物科技公司推出了商业化的皮肤模型。
2020年11月,法国初创公司CTIBiotech推出了两种用于皮肤护理的生物打印全皮肤模型。该公司通过改进生物打印专业知识,以生产出适用于皮肤护理应用的新模型,可满足不断反复地测试需求,以评估皮肤美容产品中所含成分的功效和安全性。
巴斯夫和拜尔斯道夫是最早使用该公司模型的企业,现在CTIBiotech也正在为更多的企业和巴黎的临床医院测试生物打印模型。CTIBiotech还与其他企业一起开发了含皮脂细胞的皮肤模型。
另外,北京深蓝云生物科技有限公司售有CELLINK BIOX 3D生物打印仪器,该仪器的打印原材料为:GelXA Skin生物墨水、Col MA生物墨水;人真皮成纤维细胞、表皮角质形成细胞。仪器能实现全厚度皮肤组织模型的3D生物打印。

图:CELLINK BIOX 3D生物打印仪器,图源深蓝云生物科技公众号
有血管或神经组织的皮肤模型
生产技术的进步为3D皮肤模型的发展提供了更为广阔的空间,一些专家已经构建出具有血管或神经组织的皮肤模型。
韩国浦项科技大学机械工程学院Byoung Soo Kim等研究人员,在自行设计的多功能生物3D打印平台上,利用喷墨和挤出打印两种工艺构建了包含表皮、真皮和皮下组织的体外全层皮肤模型,在该模型真皮层和皮下组织的交界处含有内皮化且可灌注的血管。
该模型经大分子渗透实验证明:打印后内皮化的血管具有选择渗透性,具有实际血管的特定功能。
并且,在多种混合培养液的共同作用下,通过细胞功能表达标志物的检测,证明了与只含有表皮层和真皮层的皮肤模型相比,血管化的全层皮肤组织模型具有与实际皮肤更接近的复杂结构和完整功能,其细胞功能标记物的表达更为充分。

图:含血管通道的全层皮肤模型,图源3D打印分会中国机械工程学会
除此之外,巴斯夫利用一家法国初创公司NETRI的创新技术,在芯片上搭建了受神经支配的衰老皮肤模型。(详情请点击:欧诗漫新推珍珠美白成分/巴斯夫开发“神经皮肤芯片”丨原料新品10)
与传统通过共培养得到的皮肤模型(上述组织工程建立的皮肤模型属于这一类)相比,该技术更准确地模拟了皮肤内部的神经生理机制。
Gattefossé与生物力学和高分辨率生物学成像专家BioMeca也联合开发了一种不含任何外源性基质的3D真皮微组织模型。
虽然在3D皮肤模型上开展化妆品功效评价已经成为行业发展的趋势之一,但有学者表示,商业化皮肤模型仍存在一些不足之处:成熟应用的大部分皮肤模型缺乏毛囊、汗腺和皮脂腺等皮肤附属结构;作为单一的组织模型,无法测试组织和其他器官、生物系统的相互作用;
在有效检测长时间多次的日常使用功效上,有待进一步发展;皮肤屏障功能弱于真人皮肤,受试物的经皮吸收率较高;皮肤模型的供应商有限,价格较高;不同种子细胞来源的皮肤模型(指构建皮肤模型的原细胞来自不同部位)在测量指标上存在差异等。
有专家认为,基于3D皮肤模型的评价结果能在多大功能范围,多大程度上代表人群的功效反应,是人们共同关注的问题。这个问题也直接影响了化妆品功效性体外检测方法的系统设计与实施。
一些专家也指出了皮肤模型的未来发展方向,“皮肤模型未来的发展应包括进一步积累各种功效原料的多维度实验数据,整合并提高与人体临床数据的科学相关性和预测性,以及研究如何延长皮肤模型的培养时间,从而进行化妆品日常使用功效的评价等。”
3D皮肤模型确实为化妆品功效评价提供了科学依据,但也仅是体外功效试验的一种,要对化妆品功效进行全面评价仍要结合多维度的数据。
“我们需要整合多维度数据来综合评价体外科学检测的功效数据,需要实现多维度的科学逻辑统一,才能达到更好的化妆品功效评价结果。”一专家在综述中表示。
参考文献:
[1]宋肖洁, 周春霞, 吴越. 3D皮肤模型的构建及其在化妆品原料活性物功效检测中的应用研究[J]. 日用化学工业, 2017, 47(11):5.
[2]李潇, 张晓娥, 卢永波,等. 化妆品功效评价(Ⅷ)——3D皮肤模型在化妆品功效评价中的应用[J]. 日用化学工业, 2018, 48(9):7.
[3]卢永波, 李潇, 张艳云,等. 基于3D皮肤模型的安全性及功效性研究[C]// 2015毒性测试替代方法与转化毒理学(国际)学术研讨会.
[4]张春晓, 杜镇建, Zhi Wang,等. 3D-人造皮肤模型在化妆品安全性,功效性评价中的应用[J]. 北京日化, 2014(2):3.
[5]孔雪,赵华,唐颖.皮肤模型在化妆品功效评价中的应用研究进展[J]. 日用化学工业, 2017,47(4):228-231,236.
[6]宋肖洁, 周春霞, 吴越. 3D皮肤模型的构建及其在化妆品原料活性物功效检测中的应用研究[J]. 日用化学工业, 2017, 47(11):5.
信息来源:百度百科,premium BEAUTY news,《化妆品功效宣称评价规范》,博溪生物官网,公众号:药大妆妍 、南极熊3D打印、3D打印分会中国机械工程学会、深蓝云生物科技



评论