记者 |
编辑 | 许悦
为什么许多癌症患者在发现病情时就已是中晚期?这是由于很多癌种在早期发病时临床表现较少,同时常规的检测手段往往难以检测发现。
而这也会导致,很多癌症患者在出现临床症状时,往往已经错过了最佳的治疗时机。但从诊断角度上,这一情况正在得到改善,通过分子影像等精准医疗手段,能更接近实现早期发现、早期治疗,更好改善患者预后,并且减少医疗费用。
这是因为分子影像能诊断能从分子、代谢水平中更早期发现生物体内的病理性变化,与PET/CT(正电子发射计算机断层显像)融合能够精准定位病灶。在包括阿尔兹海默症等精神疾病、肿瘤、心脏病等多病种中,分子影像诊断能够辅助临床进行分子细胞学的观察,及早发现病灶,从而最终改善患者生存状况。
而核素药物(即用于医学诊断的放射性核素制剂)则是分子影像诊断谁需要用到的重要一环。
将特定的标记分子放射性同位素注入人体内后,标记分子会在靶标器官或组织聚集,因这些分子会放出射线,射线被PET/CT等影像设备捕捉后,将人体内病灶成像,实现核医学分子影像。医生再根据成像给出个性化治疗方案。

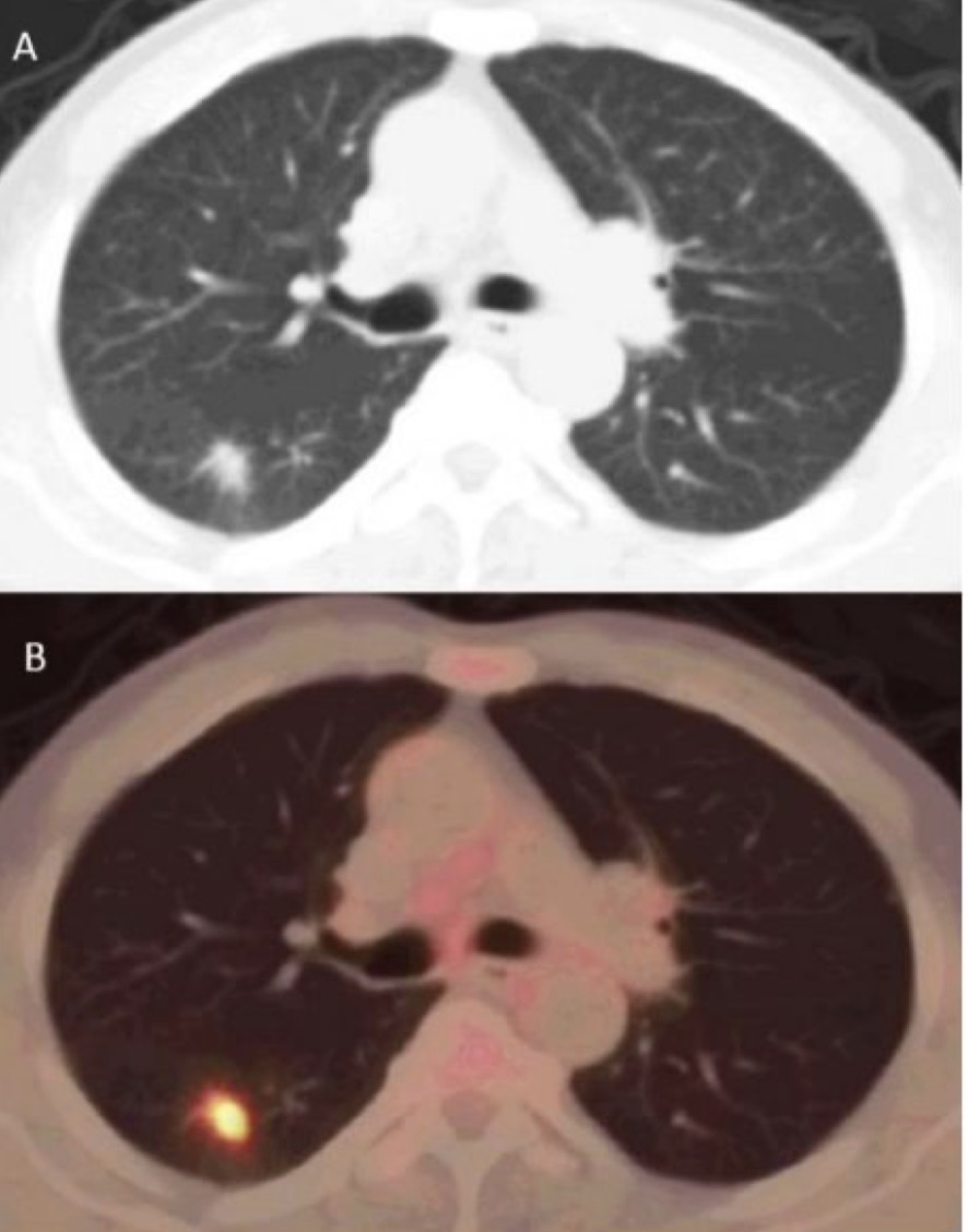
以肿瘤诊断中常用的、被誉为“世纪分子”的氟-18脱氧葡萄糖注射液(18F-FDG)为例。因恶性肿瘤细胞的代谢旺盛,导致其对葡萄糖的需求增加,因此在患者注入18F-FDG,可以使用PET-CT进行葡萄糖代谢显像,通过影像发现人体内有无异常的葡萄糖代谢高部位,从而发现病灶。
GE医疗中国核医学业务总经理高伟接受界面新闻采访时做了一个形象的比喻,“如果把核药比喻成一颗由‘弹体’与‘弹头’组成的“巡航导弹”,以18F-FDG为例,FDG就犹如‘弹体’,利用了葡萄糖代谢的特点,大量聚集在肿瘤细胞内,‘弹体’可以在人体内自动导航,去到特定的细胞,不同的核药进入不同类型的细胞;18F-FDG中的18F就犹如一颗发光‘弹头’,当在特定细胞聚集后,发出180度的γ光子,被PET(成像设备)所接收。 ”
不同于CT等影像设备能够发现人体内的形态学变化,PET/CT结合核药能够帮助医生发现患者体内的代谢、细胞水平变化,能够发现更加早期、隐秘的病灶。
这种手段不止可用于早期诊断,也可帮助更快判断治疗效果。在患者接受一段时间治疗后,如果通过PET/CT结合核药已经能够发现药物已经带来了代谢等变化,即使病灶处的形态学没有发生变化,但是医生仍可判断药物在使用早期是否合适患者。
核素药物并不仅用于诊断,还可用于治疗,在欧美发达国家中用于诊断用和治疗用的核素药物比例约为8:2。
用于诊断的核素药物的市场同PET/CT的装机量密切相关,因为二者需要搭配使用,因此近年来PET/CT装机量的放量直接带动了诊断用核素药物市场的放量。但根据2017年数据,当年全球核药销售额达45亿美元,美国占比38%,欧洲占比24%,国内占比不足8%。
另外由于核素药物同普通药物最大的区别在于有放射性同位素,部分核素的半衰期只有两个小时,意味着药物效能每两个小时衰减一半,在衰减几个小时后就面临失效。因此对于核素药物的生产和物流运输提出了更高的要求。
虽然部分企业通过设置区域核药房中心来解决周边医院的需求,但是这样销售半径被限制在大约150公里作用。但对于高等级医院而言,核素药物的生产最好能够现场生产,生产后患者可以尽快使用。
GE医疗诊断药物部核药业务总监邹柯介绍,GE医疗研发的FASTlab平台可以帮助医院现场生产核素药物,不依赖第三方供应中心,在院内就可以实现核药生产,能够帮助更多患者尽早检测。上文提到的18F-FDG已经可以在该平台上一键生产,而像广州中山大学附属第一医院核医学科已经配备了该平台,院内可以生产部分示踪剂。
高伟表示,目前如中山一附院这样集临床、科研于一体的大型医院,涉及到早期诊断帕金森等疾病,所以需要设置核医学科室,要求医院有独自制备药物能力。
但是基层医院可能仅涉及到诸如通过碘131治疗甲亢等。而由于碘131半衰期较长,不需要现场合成并在其衰变期内及时使用药物。“但我们可以预见,未来10年,核医学很有可能是医院里一个必备的科室,不仅限于现在全国集中在三甲医院或者省级医院为主,而是在区域中心医院、县域医院。”



评论