医资下沉,势在必行;基层医疗,提质增量。
县级医院的使命
随着基层医疗发展进程的不断推进,乡镇医疗机构承接着农村大量人口接诊任务,当前优质医疗资源主要分布在一二三线城市,对于农村人口来说就医需要投入更大的人力和时间成本,因此基层尤其是县域医院综合能力建设也亟待加强。提升县域医疗服务能力和服务水平,是合理利用资源惠及民生的重要举措。
鸡鸣三省——威信县
彩云之南,有这么一座小城——威信县,隶属于云南省昭通市,位于云、贵、川三省结合部,俗有“鸡鸣三省”之称。红色扎西,赤水明珠,树威立信,走向胜利。中国工农红军长征途中曾在这里召开了著名的“扎西会议”,写下了“推动中国革命走向胜利新阶段”的传奇。独一无二的红色基因,也在岁月更替中容光焕发,古朴的扎西老街串联起弥足珍贵的革命遗址,成为传承长征精神、发扬革命传统、促进民族团结新样板、新标杆的建设目标。



全县幅员面积近1400平方公里。威信是一个典型的山区县,农业以玉米和水稻、烤烟为主。据统计,根据第七次人口普查数据,截至2020年11月1日,威信县常住人口为352318人。有彝族、白族、傣族、壮族、苗族、回族、傈僳族、拉祜族、佤族、纳西族、瑶族、藏族、景颇族、布朗族、布依族、阿昌族、哈尼族、锡伯族、普米族、蒙古族、怒族、基诺族、德昂族、水族、满族、独龙族等众多民族分布。

脱贫,不止经济
直到2019年4月30日,云南省人民政府才决定威信县退出贫困县序列。故此,威信县的经济水平和医疗水平总体较为落后。在这个美丽的县城,群众拍CT非常困难,老百姓如需较高层次的救治,需前往280多公里外的邵通市或周边省市。

据悉,宽腾医疗于日前在邵通市威信县威信惠民医院启动64排128层CT装机,马不停蹄地完成了设备调试及对医生使用设备的系列培训,以保证CT能够正常完成身体各处扫描。宽腾作为一家专业致力于影像技术研究与应用的高科技企业,深刻认识到CT一直以来都是临床上不可缺少的一种医学影像诊断设备,也是患者就医时必不可少的选择之一。“早检查早发现、早识别早诊断、早预防早治疗”是影响人类健康的关键因素之一,而影像则是获取这些信息的重要的手段。

针对邵通市威信县当地医疗条件水平落后的实际情况,对病情特别是需及时处理的急重症进行早期发现,早期诊断和早期转诊具有十分重要的意义。
作为当地的第一台64排128层CT,宽腾医疗此次装机切实帮助了该医院进行升级改造,破解医疗资源匮乏的困境,很大程度上提升了威信县威信惠民医院放射科对急重症的诊断能力和水平。

宽腾64排128层CT来到这里,无疑是为当地的老百姓送上福音,在很大程度上避免了当地老百姓由于疑难杂症需要必须到路途较远的大医院就诊,不仅缩短了威信县病人看病的路程,还大大减轻了威信县群众看病的负担。
装机应用范围
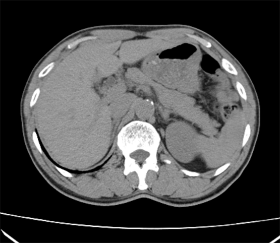
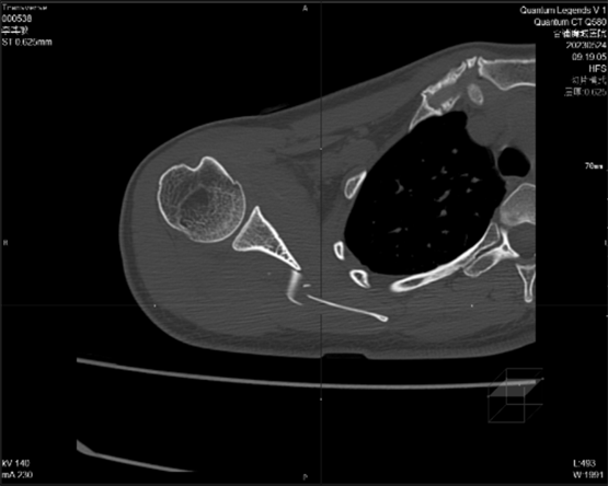
宽腾64排128层CT目前在该院主要使用方向和情况为常规平扫加增强,体检为后续发展主要应用方向;急诊以外伤为主,现阶段重点以下肢造影偏多,检查人群以老年人为主,现阶段每日扫描量为15左右,目前该设备在当地的先进度仅次于人民医院中医院。
1.常规平扫加增强:宽腾医疗CT系列具有智能追踪和经验值等多种增强扫描方案,定制化血管增强和多期脏器增强扫描解决方案,采用最快0.5秒机架旋转,1.75大螺距扫描,最低70kv低剂量智能毫安调节技术,实现低剂量/低辐射/低对比剂/低速率“四低”临床检查方案,满足临床诊断。



2.急诊以外伤为主:宽腾医疗CT系列采用大孔径设计,急诊外伤患者等特殊体位患者更大包容性,一站式急诊扫描流程,智能摆位,一键建档,最快0.5秒机架旋转,同台多平面重组/3D多序列多算法重建图像,为医生争取抢救黄金时间。



目前,通过对当地其他医院的CT和现已装机的64排128层螺旋CT图像质量进行对比分析发现,两者在扫描范围上有很大差异,这对于提高临床医生对疾病的认识和诊治水平有着十分重要的意义;另外,其相对于普通设备而言具有更大的体量优势和功能优势,使得它能够满足不同病人的需求。同时,对心脏成像、脑血管综合解决方案、血管成像、肺结节检查及结肠病变普查等多项科研技术实现了重大突破。
医资下沉惠及民生
如今,当地及周边居民可就近享受到先进的医疗影像服务,大大缩减了看病成本,提高了看病效率。据了解,宽腾医疗根据威信县优质医疗资源匮乏的现状,加大对口帮扶精准化力度,推动优质医疗资源和技术下沉,夯实县域特色分级诊疗体系,帮助加快构建科学合理就医新模式。同时,用更高的标准夯牢根基,持续改善硬件条件。根据县域居民诊疗需求,逐步改善硬件设施设备条件,帮助实现“小病不出村,大病不出县”,医疗资源的下沉在很大程度上惠及了基层民生。
此次装机产品

推进健康中国建设,是基本实现社会主义现代化的重要基础。作为国内大型医疗设备产业的先行者,宽腾医疗将矢志不渝地为推动院企产医深度融合发展,助力各级医院临床诊疗水平不断提升,实现优质医疗卫生资源配置均衡化而努力。推进健康中国建设,宽腾将始终在路上!
【广告】(免责声明:本文为本网站出于传播商业信息之目的进行转载发布,不代表本网站的观点及立场。本文所涉文、图、音视频等资料之一切权利和法律责任归材料提供方所有和承担。本网站对此资讯文字、图片等所有信息的真实性不作任何保证或承诺,亦不构成任何购买、投资等建议,据此操作者风险自担。)
评论