文|复旦大学脑科学研究院研究员 何苗
现代神经科学的奠基者、西班牙科学家拉蒙-卡哈尔曾经说过,“只要大脑的奥秘尚未大白于天下,宇宙将仍是一个谜。”
的确,在人类探索自身奥秘的旅程中,大脑的秘密是其中最难以攀登,却又最令人向往的一座高峰。大脑是控制机体所有功能的中枢,西方医学之父希波克拉底也曾经说过:
“因为有了脑,我们才有了乐趣、欣喜与欢笑,才有了绝望、哀愁与无尽的忧思。因为有了脑,我们才看得见,才听得到。因为有了脑,我们才以一种独特的方式拥有了智慧,获得了知识。”

今天在场的各位决定放弃一天的休闲来参加未来大会,也是经过了脑的思辨与决策。而经过了前面许多场精彩的演说之后,还能够保持旺盛的好奇心和注意力,也少不了脑的控制。
大脑神经元是如何工作的?
对于脑的认知是诊断和治疗神经精神疾病的重要基础,对于发展人工智能也有着重要的借鉴意义。现代神经科学对于脑的研究,从空间尺度上来看,可以分为三个层次:
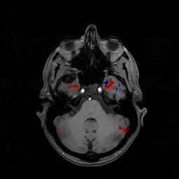
首先是在宏观层次上对脑的研究,就像是下方这幅图上展示的,用磁共振成像来对不同脑结构之间的神经活性进行观测。

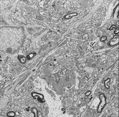
其次,利用电子显微镜等技术,也可以对纳米尺度上脑的微观结构进行研究,就像下方这幅图上所展示的。

介于这两者之间,就是在介观尺度上对神经元的研究。

无论从哪个尺度上看,大脑的结构和功能都非常复杂,而介观尺度上对神经元的研究是联系微观与宏观的桥梁。
从这个层次上来看,可以看到我们的大脑中有着数以亿计的细胞,其中神经元约有860亿,这个数字比现在地球上人口总和的十倍还要多。
如果我们把每一个神经元看作是一个人,那我们的大脑就像是一个非常复杂而庞大的社会,它的正常运转离不开每一个人的分工协作。
与其他细胞一样,神经元也具备细胞体、细胞核和各种细胞器。它的特别之一在于其形态,从神经元的细胞体延展出长长的突起,一端是接收信息的树突,另一端是传递信息的轴突。能够接受刺激和传递兴奋正是神经元的另一个重要特征。

(图上标注依次为:树突、胞体、轴突、突触)
神经元之间相互联系和传递信息,是经由一个叫做突触的结构。从树突接收的信息到达胞体,经过整合后,沿着轴突以电冲动的形式向下传播。当它到达突触前膜的时候,就会激发神经递质这种化学小分子的释放。位于下一级神经元突触后膜上的受体与神经递质结合,打开离子通道,带电离子的进出就会改变下一级神经元的电位,这样信号就可以继续向下传递了。这样的突触叫做化学突触。
另外还有一种叫做电突触,它可以允许带电离子直接在两个神经元之间流动。相互连接的神经元不仅传递信息,也处理信息。它们所构成的神经环路是承载各项脑功能的结构基础。
下面就是一个非常简化的神经环路示意图,我们可以看到红色的感觉神经元从外界接收信息并传递到我们的脑中,经过橙色的中间神经元处理,再由蓝色的运动神经元传递到外周的肌肉上。

神经元相互链接组成神经环路行使各项脑功能
譬如说,如果你现在突然听到一声巨响,被吓了一跳,这样的行为反应基本就是由上述类似的神经环路所介导的。
如何认识极其复杂的神经元?从海兔和小鼠身上找答案
在大脑中的任何一个脑区,都存在着许许多多的神经元。如果我们把每个神经元都绘制出来,所看到的就像是一团乱麻,无法知道它们到底在神经环路中扮演着什么样的角色。

那么应该怎样去研究这个复杂的问题呢?通常有两个思路:
第一个思路就是从更为初级、更为简单的系统入手。
比如说,不要直接研究人的大脑,而是去选择一个更简单的低等模式生物。
图中这位科学家埃里克·坎德尔,他所选择的模式生物是海兔。海兔是一种外表很萌的海洋腹足类生物,因为头上长着触角,像兔子的耳朵,所以得名。他之所以选择这种模式生物来研究,是因为它的神经元数量相对比较少,而且细胞的个头非常大。

从中间这个橙色的图上可以看到,最大的海兔神经元直径达1.1毫米,而我们大脑中大部分神经元的直径是在十微米左右的数量级。另外,海兔的神经元本身就具备不同的颜色,所以根据它所处的位置、大小、颜色,就可以很容易地分辨不同的神经元,并且对它们进行记录和研究。
坎德尔所研究的是学习记忆,我们可能觉得这好像是人才有的一种高级功能,但实际上它是生物适应环境时非常重要的一个基础功能。
坎德尔利用的是一个叫做缩鳃反射的行为范式,海兔的身体如果被触碰,它为了保护自己就会把柔软的鳃缩起来,就是图中黄色的部分。

大家可以看到从左边到右边,鳃的体积是变小了的。如果你反复地触碰海兔,但是不伤害它,海兔就会学会下一次不需要反应得这么强烈。
反过来,如果把非伤害性的触碰和伤害性的刺激耦合起来,比如说在它的尾部给予电击,那么海兔就会学会下一次再有非伤害性触碰的时候,它会预测着一次伤害的到来,那就需要反应得更为强烈一些。这样一个过程就叫做敏化,也就是一个学习的过程。
如果经过反复多次多天的训练,这个记忆可以延续数周之久。对于海兔来说,这算是非常长的了,因为它的生命周期只有一年左右。

这样的响应由一个相对简单的神经环路所介导,就像上图所示,有感受刺激的感觉神经元,有控制肌肉收缩的运动神经元,还有调控这两者互相联系的中间神经元。
如果我们对运动神经元和感觉神经元进行记录,就会看到面对同样的刺激,敏化之后的运动神经元响应会变得更大。利用这套简单的模型和行为范式,神经科学家们做出了非常多的重要发现,坎德尔也因为他的杰出贡献获得了2000年的诺贝尔奖。
在低等生物中发现的这些原理,很多也可以适用于高等生物,最终我们还是想要回到哺乳动物的大脑中来。
另一个研究的思路就是进行分类归纳,总结规律。
如果把我们的大脑比作电子环路,那些大规模集成电路也包含成千上万个电子元件,但是作为运算基础的电子元件的类型是有限的。单独的元件可能大小不同,形状不一,但是隶属于同一类的元件遵循着相同的底层运算逻辑。与此相仿,我们也可以对神经元进行分门别类的研究,寻找同一类神经元各自遵循的普遍规律。

100多年前,卡米洛·高尔基发明了一种染色方法,可以随机把一小部分神经元染成深色,最中间这幅图所展示的小脑蒲肯野细胞,就是用高尔基染色法所染出来的。

卡哈尔对高尔基染色做出改进,并且借此对人脑中形形色色的神经元进行了观察和绘制。右边这三幅图就是他所绘制的神经元,以及与记忆相关的海马体、与高级认知功能相关的大脑皮层的构造。
但现在问题又来了,我们想简化对神经元的研究,从研究每一个神经元到研究每一个神经元类型。细胞的每个特征实际上都具备一定的物质基础,也就是以蛋白质为首的基因的产物。
从这个层面上来看,可以说神经元的多样性实际上是由基因表达的多样性所决定的。

编码在我们基因组中的遗传程序调控着神经元的产生、分化和各种特征,这其中包括在神经干细胞和神经元中起决定命运的转录因子,也包括在分化的神经元中差异表达的标记基因。

前者就像是在我们成长的历程中,来自学校或者家庭的引导,帮助我们选择将来的职业,做出人生规划;后者就像是步入社会、走上工作岗位之后,我们的职业所赋予的特征,比如医生的白大褂,或者警察的制服,一眼就可以识别身份。那么利用这样一些基因,我们就可以对神经元进行分类和遗传标记。

要具体实现这种遗传标记,仍然要借助模式生物——小鼠,进而就要建立转基因小鼠得模型。
所谓转基因,实际上就是把本来不存在于内源基因组的一个外源基因插入到小鼠基因组里。

这是一个简单的流程图。
比如说,如果我们插入一个编码荧光蛋白的基因,就可以让小鼠带上荧光,就像是右边这个红色和绿色荧光小鼠这样。
要做到这一点,我们就需要定向地把基因插入小鼠基因组的特定位置,就是前面提到的那些决定神经元命运的转录因子,或者是差异表达的标记基因。

标记神经元形态
利用这样的遗传标记法,我们可以对神经元的形态进行非常直观的观察。它的特异性会更好,效率更高,可靠性、可控性、分辨率等各方面都有大幅提升。

统计神经元分布
我们还可以对不同类型的神经元在不同脑区的分布进行统计。这是三种神经元在小鼠不同剖面分布的示意图,这样我们就可以非常直观地看到,在不同脑区中,不同神经元的密度是不一样的。
这种密度的差异和它的环路构筑模式非常相关,我们也可以用这种方式来追踪神经环路的连接。

追踪神经连接
图中间星云状的这团信号实际上是一种特定类型神经元的胞体,而向前和向后两个分叉就是它们的轴突指向。如果我们对这些轴突的走向和终止的位置进行追踪,就可以推测这一部分神经元的信息是向哪里传递的。
如何用基因的方法更好地研究神经元?
除了这些形态学和解剖学方面的研究,我们还希望监测和干预它的活性;甚至直接把一部分神经元杀死,来看看对脑功能和神经环路有怎样的影响;或者是模拟出神经精神疾病,看看不同神经元对疾病的发生和发展起怎样的作用。 要达到不同的目的,就要应用不同的工具基因。

为了兼顾特异性和灵活性,我们可以插入一个通用的分子开关,然后利用它去激活不同的工具基因,以达到相应的目的。
这里举一个比较直观的例子,图中红色部分是把一种特定类型的神经元用红色荧光蛋白标记出来,虽然大家看到的好像只有一个细胞,实际上它的附近有许许多多的神经细胞,只是其他神经元都看不到绿色的信号。

监测神经活性
它体现的其实是神经元活性的改变,这个绿色是一种钙镁蛋白,当它与钙离子结合的时候就会发荧光,钙离子的浓度越高,荧光就越强,这反映了神经元的活性。
将遗传标记与其他的现代神经科学研究手段相结合,我们不仅能够对神经元进行分类,还能够追踪它们的发育历史,绘制它们的环路连接图谱,监测甚至干预它们的功能以及模拟神经精神疾病,进而解析脑的发育机制和工作原理。
在未来,我相信随着这项技术的进一步发展,以及其他神经科学的前沿技术的发展,我们会获得更多关于脑科学的新知,帮助我们推开大脑的奥秘之门。
策划 | 李莹;编辑 | 曹威;校对 | Lily;版面 |漫倩


评论